"Самира"

В этом разделе каждый желающий может разместить свой рассказ об операции по исправлению "О-образной" кривизны ног. Здесь вы можете вести свой дневник, или разместить рассказ целиком. Приветствуется подробность изложения и размещение фото и видео материала.
Ответить
Аватара пользователя
Snegana
Сообщения: 276
Зарегистрирован: 17 авг 2011, 01:27

"Самира"

Сообщение Snegana »

Исходник
Дата операции - 18 апреля.
Диагноз: О-образная деформация нижних конечностей, ротация слева.
Вид операции: кортикотомия б/б кости верхней трети, наложение шарнирно - коррекционного - де ротационного аппарата Илизарова - Онипко.
Вложения
SAM_2396.JPG
Аватара пользователя
Sekretar Onipko
Сообщения: 4551
Зарегистрирован: 16 авг 2011, 22:12

Re: "Самира"

Сообщение Sekretar Onipko »

Весенний 2012г. заезд кривоножек в клинику доктора Онипко.
Вложения
SAM_2525.JPG
Аватара пользователя
Snegana
Сообщения: 276
Зарегистрирован: 17 авг 2011, 01:27

Re: "Самира"

Сообщение Snegana »

Ножки на сегодня.
Вложения
SAM_2639.JPG
Аватара пользователя
Sekretar Onipko
Сообщения: 4551
Зарегистрирован: 16 авг 2011, 22:12

Re: "Самира"

Сообщение Sekretar Onipko »

Самира, Н.Н. получил Ваши снимки, у Вас всё срослось и пересрослось. Приезжайте на снятие аппаратов и в этот же день домой, костыли после снятия Вам не понадобятся!
С/у секретарь доктора Онипко Н.Н.
Самира
Сообщения: 2
Зарегистрирован: 26 июл 2012, 00:11

Re: "Самира"

Сообщение Самира »

Здравствуйте! Выложите пожалуйста мои рентгеновские снимки до и после операции. Заранее благодарю.
Аватара пользователя
Sekretar Onipko
Сообщения: 4551
Зарегистрирован: 16 авг 2011, 22:12

Re: "Самира"

Сообщение Sekretar Onipko »

Самира, приезжайте на снятие, при чём здесь снимки??? :shock:
Аватара пользователя
Sekretar Onipko
Сообщения: 4551
Зарегистрирован: 16 авг 2011, 22:12

Re: "Самира"

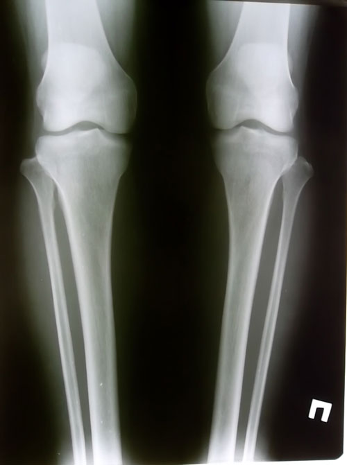
Сообщение Sekretar Onipko »

Рентгеновские снимки до операции.
SAM_3428.JPG
прямая проекция
SAM_3429.JPG
боковая проекция
Аватара пользователя
Sekretar Onipko
Сообщения: 4551
Зарегистрирован: 16 авг 2011, 22:12

Re: "Самира"

Сообщение Sekretar Onipko »

рентгеновские снимки после операции, исправление деформации.
SAM_3425.JPG
прямая проекция
SAM_3427.JPG
боковая проекция
Аватара пользователя
Sekretar Onipko
Сообщения: 4551
Зарегистрирован: 16 авг 2011, 22:12

Re: "Самира"

Сообщение Sekretar Onipko »

рентген снимки, высланные пациенткой (качество страдает).
Вложения
SAM_3439.JPG
SAM_3437.JPG
Аватара пользователя
Sekretar Onipko
Сообщения: 4551
Зарегистрирован: 16 авг 2011, 22:12

Re: "Самира"

Сообщение Sekretar Onipko »

Дата операции 18.04.2012г.
Аппараты сняты 02.08.2012г.
Срок лечения 104 дня.
Вложения
SAM_2396.JPG
SAM_2399.JPG
Самира
Сообщения: 2
Зарегистрирован: 26 июл 2012, 00:11

Re: "Самира"

Сообщение Самира »

Спасибо большое Николай Николаевич!!!!!! Желаю Вам успехов во всем, здоровья и всего самого хорошего! buketserdec
Аватара пользователя
Dalida
Сообщения: 179
Зарегистрирован: 23 май 2012, 19:38
Хирург: Онипко Н.Н.
Диагноз: О- образная деформация нижних конечностей
Дата операции.: 30.01.2013
Дата снятия аппаратов.: 04.05.2013
Срок лечения.: 92 дня
Оценка результата операции.: Супер
Откуда: Актобе

Re: "Самира"

Сообщение Dalida »

Самира,ножки просто загляденье! buketserdec
Ответить