Облако

В этом разделе каждый желающий может разместить свой рассказ об операции по исправлению "О-образной" кривизны ног. Здесь вы можете вести свой дневник, или разместить рассказ целиком. Приветствуется подробность изложения и размещение фото и видео материала.
Ответить
Аватара пользователя
Sekretar Onipko
Сообщения: 4551
Зарегистрирован: 16 авг 2011, 22:12

Облако

Сообщение Sekretar Onipko »

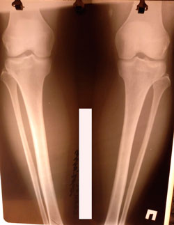
Исходник - 41 год.
Дата операции - 02.02.2021
Вложения
image-03-02-21-12-32-4.jpg
image-03-02-21-12-32.jpg
Ответить