Малышка

В этом разделе каждый желающий может разместить свой рассказ об операции по исправлению "О-образной" кривизны ног. Здесь вы можете вести свой дневник, или разместить рассказ целиком. Приветствуется подробность изложения и размещение фото и видео материала.
Ответить
Аватара пользователя
Sekretar Onipko
Сообщения: 4551
Зарегистрирован: 16 авг 2011, 22:12

Малышка

Сообщение Sekretar Onipko »

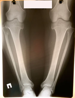
Исходник - 19 лет.
Дата операции - 26.01.2021

Диагноз: Ахондроплазия- низкий рост 149 см
Имеется подвывих головки малоберцовой кости кверху, поэтому: на первом этапе произведено низведение головки малоберцовой кости за счёт удлинения большеберцовой кости на 1,5 см.
Вложения
image-27-01-21-10-30-5.jpg
image-27-01-21-10-30-6.jpg
Аватара пользователя
Sekretar Onipko
Сообщения: 4551
Зарегистрирован: 16 авг 2011, 22:12

Re: Малышка

Сообщение Sekretar Onipko »

с 17.02. начался процесс исправления деформации ног (коррекция).
Вложения
image-18-02-21-02-28.jpg
image-18-02-21-02-28-1.jpg
Ответить