Primavera

В этом разделе каждый желающий может разместить свой рассказ об операции по исправлению "О-образной" кривизны ног. Здесь вы можете вести свой дневник, или разместить рассказ целиком. Приветствуется подробность изложения и размещение фото и видео материала.
Ответить
Аватара пользователя
Sekretar Onipko
Сообщения: 4551
Зарегистрирован: 16 авг 2011, 22:12

Primavera

Сообщение Sekretar Onipko »

Исходник - 50 лет.
Дата операции - 15.12.2020
Вложения
image-26-12-20-12-00.jpg
image-26-12-20-12-00-1-(1).jpg
Аватара пользователя
Sekretar Onipko
Сообщения: 4551
Зарегистрирован: 16 авг 2011, 22:12

Re: Primavera

Сообщение Sekretar Onipko »

перед крутками
Вложения
image-22-12-20-04-38.jpeg
Аватара пользователя
Sekretar Onipko
Сообщения: 4551
Зарегистрирован: 16 авг 2011, 22:12

Re: Primavera

Сообщение Sekretar Onipko »

на фиксации
Вложения
image-26-12-20-12-00-5.jpg
image-26-12-20-12-00.jpg
Аватара пользователя
Sekretar Onipko
Сообщения: 4551
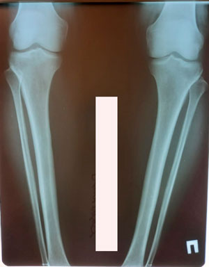
Зарегистрирован: 16 авг 2011, 22:12

Re: Primavera

Сообщение Sekretar Onipko »

рентген перед фиксацией
Вложения
image-05-01-21-06-30-4.jpg
image-05-01-21-06-30-5.jpg
Ответить