Мальчик

В этом разделе каждый желающий может разместить свой рассказ об операции по исправлению "О-образной" кривизны ног. Здесь вы можете вести свой дневник, или разместить рассказ целиком. Приветствуется подробность изложения и размещение фото и видео материала.
Ответить
Аватара пользователя
Sekretar Onipko
Сообщения: 4551
Зарегистрирован: 16 авг 2011, 22:12

Мальчик

Сообщение Sekretar Onipko »

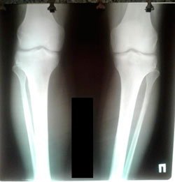
Исходник - 29 лет.
Дата операции - 29.09.2020
Вложения
image-29-09-20-11-11-1.jpg
image-29-09-20-11-11-6.jpg
Аватара пользователя
Sekretar Onipko
Сообщения: 4551
Зарегистрирован: 16 авг 2011, 22:12

Re: Мальчик

Сообщение Sekretar Onipko »

перед крутками
Вложения
image-07-10-20-01-05-2.jpg
Аватара пользователя
Sekretar Onipko
Сообщения: 4551
Зарегистрирован: 16 авг 2011, 22:12

Re: Мальчик

Сообщение Sekretar Onipko »

на фиксации
Вложения
image-29-09-20-11-11-1.jpg
image-22-10-20-11-43-4.jpg
Аватара пользователя
Sekretar Onipko
Сообщения: 4551
Зарегистрирован: 16 авг 2011, 22:12

Re: Мальчик

Сообщение Sekretar Onipko »

перед снятием аппаратов
Вложения
image-12-01-21-10-20.jpg
image-12-01-21-10-20-1.jpg
Аватара пользователя
Sekretar Onipko
Сообщения: 4551
Зарегистрирован: 16 авг 2011, 22:12

Re: Мальчик

Сообщение Sekretar Onipko »

Дата операции - 29.09.2020
Дата снятия аппаратов 12.01.2021
Вложения
image-29-09-20-11-11-3.jpg
image-29-09-20-11-11-1.jpg
Ответить