Феликс

В этом разделе каждый желающий может разместить свой рассказ об операции по исправлению "О-образной" кривизны ног. Здесь вы можете вести свой дневник, или разместить рассказ целиком. Приветствуется подробность изложения и размещение фото и видео материала.
Ответить
Аватара пользователя
Sekretar Onipko
Сообщения: 4551
Зарегистрирован: 16 авг 2011, 22:12

Феликс

Сообщение Sekretar Onipko »

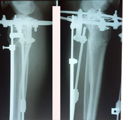
Исходник 40 лет.
Дата операции - 18.09.2020
Вложения
image-17-09-20-05-29.jpg
image-17-09-20-05-29-6.jpg
ualihan81
Сообщения: 15
Зарегистрирован: 01 сен 2020, 10:02
Контактная информация:

Re: Феликс

Сообщение ualihan81 »

Здарова Феликс! Скорейшего срастания. Мне тоже 40. Как чувствешь себя, тяжело ходить?
Тоже хочу на операцию.
ualihan81
Сообщения: 15
Зарегистрирован: 01 сен 2020, 10:02
Контактная информация:

Re: Феликс

Сообщение ualihan81 »

Феликс можно с тобой пообщаться по телефону, по поводу операции?
что да как
ualihan81
Сообщения: 15
Зарегистрирован: 01 сен 2020, 10:02
Контактная информация:

Re: Феликс

Сообщение ualihan81 »

Мой ватсап 87718392703
Аватара пользователя
Sekretar Onipko
Сообщения: 4551
Зарегистрирован: 16 авг 2011, 22:12

Re: Феликс

Сообщение Sekretar Onipko »

Дата операции - 18.09.2020
Дата снятия аппаратов - 16.01.2021
Вложения
image-16-01-21-02-08.jpg
image-16-01-21-02-08-1.jpg
Аватара пользователя
Sekretar Onipko
Сообщения: 4551
Зарегистрирован: 16 авг 2011, 22:12

Re: Феликс

Сообщение Sekretar Onipko »

Дата операции - 18.09.2020
Дата снятия аппаратов - 16.01.2021
Вложения
image-17-09-20-05-29.jpg
image-17-09-20-05-29-2.jpg
Ответить