Студентка

В этом разделе каждый желающий может разместить свой рассказ об операции по исправлению "О-образной" кривизны ног. Здесь вы можете вести свой дневник, или разместить рассказ целиком. Приветствуется подробность изложения и размещение фото и видео материала.
Ответить
Аватара пользователя
Sekretar Onipko
Сообщения: 4551
Зарегистрирован: 16 авг 2011, 22:12

Студентка

Сообщение Sekretar Onipko »

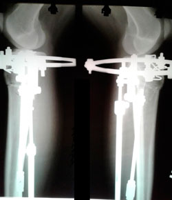
Исходник 23 года.
Дата операции - 26.08.2020
Вложения
image-26-08-20-06-25-3.jpg
image-26-08-20-06-25-1.jpg
Аватара пользователя
Sekretar Onipko
Сообщения: 4551
Зарегистрирован: 16 авг 2011, 22:12

Re: Студентка

Сообщение Sekretar Onipko »

на фиксации
Вложения
image-18-09-20-01-39-2.jpg
image-18-09-20-01-39.jpg
Аватара пользователя
Sekretar Onipko
Сообщения: 4551
Зарегистрирован: 16 авг 2011, 22:12

Re: Студентка

Сообщение Sekretar Onipko »

на фиксации
Вложения
image-26-08-20-06-25-3.jpg
image-26-08-20-06-25-4.jpg
ualihan81
Сообщения: 15
Зарегистрирован: 01 сен 2020, 10:02
Контактная информация:

Re: Студентка

Сообщение ualihan81 »

Привет Студентка!
Красивые ноги получились!
Тоже собираюсь на операцию.
Можно с тобой пообщаться по телефону по поводу операции?
ualihan81
Сообщения: 15
Зарегистрирован: 01 сен 2020, 10:02
Контактная информация:

Re: Студентка

Сообщение ualihan81 »

Мой ватсап 87718392703
Аватара пользователя
Sekretar Onipko
Сообщения: 4551
Зарегистрирован: 16 авг 2011, 22:12

Re: Студентка

Сообщение Sekretar Onipko »

Дата операции - 26.08.2020
Дата снятия аппаратов - 27.11.2020
Срок сращения - 90 дней.
Вложения
image-26-08-20-06-25-4.jpg
image-26-08-20-06-25-2.jpg
image-27-11-20-07-26-1.jpg
Аватара пользователя
Sekretar Onipko
Сообщения: 4551
Зарегистрирован: 16 авг 2011, 22:12

Re: Студентка

Сообщение Sekretar Onipko »

Дата операции - 26.08.2020
Дата снятия аппаратов - 27.11.2020
Срок сращения - 90 дней
Вложения
image-26-08-20-06-25-5.jpg
image-26-08-20-06-25-6.jpg
Ответить