Балхаш2

В этом разделе каждый желающий может разместить свой рассказ об операции по исправлению "О-образной" кривизны ног. Здесь вы можете вести свой дневник, или разместить рассказ целиком. Приветствуется подробность изложения и размещение фото и видео материала.
Ответить
Аватара пользователя
Sekretar Onipko
Сообщения: 4551
Зарегистрирован: 16 авг 2011, 22:12

Балхаш2

Сообщение Sekretar Onipko »

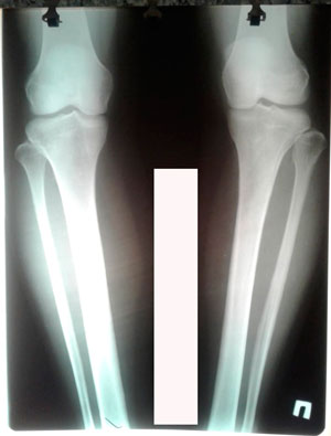
Исходник - 40 лет.
Дата операции - 19.08.2020
Вложения
image-19-08-20-07-33-1.jpg
image-19-08-20-07-33-7.jpg
Аватара пользователя
Sekretar Onipko
Сообщения: 4551
Зарегистрирован: 16 авг 2011, 22:12

Re: Балхаш2

Сообщение Sekretar Onipko »

перед крутками
Вложения
image-26-08-20-06-24-1.jpg
Аватара пользователя
Sekretar Onipko
Сообщения: 4551
Зарегистрирован: 16 авг 2011, 22:12

Re: Балхаш2

Сообщение Sekretar Onipko »

на фиксации
Вложения
image-17-09-20-05-23-1.jpg
image-17-09-20-05-23.jpg
Аватара пользователя
Sekretar Onipko
Сообщения: 4551
Зарегистрирован: 16 авг 2011, 22:12

Re: Балхаш2

Сообщение Sekretar Onipko »

на фиксации
Вложения
image-19-08-20-07-33-1.jpg
image-19-08-20-07-33-6.jpg
ualihan81
Сообщения: 15
Зарегистрирован: 01 сен 2020, 10:02
Контактная информация:

Re: Балхаш2

Сообщение ualihan81 »

Привет Балхаш!
Скорейшего срастания!
Можно с тобой пообщаться по телефону по поводу операции. Тоже собираюсь
ualihan81
Сообщения: 15
Зарегистрирован: 01 сен 2020, 10:02
Контактная информация:

Re: Балхаш2

Сообщение ualihan81 »

Мой ватсап 87718392703
Ответить