Батуми

В этом разделе каждый желающий может разместить свой рассказ об операции по исправлению "О-образной" кривизны ног. Здесь вы можете вести свой дневник, или разместить рассказ целиком. Приветствуется подробность изложения и размещение фото и видео материала.
Ответить
Аватара пользователя
Sekretar Onipko
Сообщения: 4551
Зарегистрирован: 16 авг 2011, 22:12

Батуми

Сообщение Sekretar Onipko »

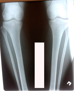
Исходник - 40 лет.
Дата операции - 09.06.2020
Вложения
image-15-06-20-10-23-4.jpg
image-15-06-20-10-23-1.jpg
Аватара пользователя
Sekretar Onipko
Сообщения: 4551
Зарегистрирован: 16 авг 2011, 22:12

Re: Батуми

Сообщение Sekretar Onipko »

перед крутками
Вложения
image-16-06-20-09-57-1.jpg
Аватара пользователя
Sekretar Onipko
Сообщения: 4551
Зарегистрирован: 16 авг 2011, 22:12

Re: Батуми

Сообщение Sekretar Onipko »

в процессе работы
Вложения
image-26-06-20-10-32-1.jpg
Аватара пользователя
Sekretar Onipko
Сообщения: 4551
Зарегистрирован: 16 авг 2011, 22:12

Re: Батуми

Сообщение Sekretar Onipko »

в процессе круток
Вложения
image-02-07-20-02-13-6.jpg
Аватара пользователя
Sekretar Onipko
Сообщения: 4551
Зарегистрирован: 16 авг 2011, 22:12

Re: Батуми

Сообщение Sekretar Onipko »

на фиксации
Вложения
image-02-07-20-12-02-5.jpg
image-02-07-20-12-02-4.jpg
Аватара пользователя
Sekretar Onipko
Сообщения: 4551
Зарегистрирован: 16 авг 2011, 22:12

Re: Батуми

Сообщение Sekretar Onipko »

на фиксации
Вложения
image-15-06-20-10-23-5.jpg
image-15-06-20-10-23-3.jpg
Аватара пользователя
Sekretar Onipko
Сообщения: 4551
Зарегистрирован: 16 авг 2011, 22:12

Re: Батуми

Сообщение Sekretar Onipko »

1,5 месяца после снятия аппаратов.
Вложения
image-15-06-20-10-23-4.jpg
image-15-06-20-10-23-3.jpg
Ответить