Жужа

В этом разделе каждый желающий может разместить свой рассказ об операции по исправлению "О-образной" кривизны ног. Здесь вы можете вести свой дневник, или разместить рассказ целиком. Приветствуется подробность изложения и размещение фото и видео материала.
Ответить
Аватара пользователя
Sekretar Onipko
Сообщения: 4551
Зарегистрирован: 16 авг 2011, 22:12

Жужа

Сообщение Sekretar Onipko »

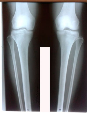
Исходник - 28 лет.
Дата операции - 04.06.2020
Вложения
image-03-06-20-05-45-1.jpg
image-03-06-20-05-45-7.jpg
Аватара пользователя
Sekretar Onipko
Сообщения: 4551
Зарегистрирован: 16 авг 2011, 22:12

Re: Жужа

Сообщение Sekretar Onipko »

До круток
Вложения
image-15-06-20-10-28.jpg
Аватара пользователя
Sekretar Onipko
Сообщения: 4551
Зарегистрирован: 16 авг 2011, 22:12

Re: Жужа

Сообщение Sekretar Onipko »

Ножки на сегодня
Вложения
image-29-06-20-12-38-2.jpg
Ответить