Гарда

В этом разделе каждый желающий может разместить свой рассказ об операции по исправлению "О-образной" кривизны ног. Здесь вы можете вести свой дневник, или разместить рассказ целиком. Приветствуется подробность изложения и размещение фото и видео материала.
Ответить
Аватара пользователя
Sekretar Onipko
Сообщения: 4551
Зарегистрирован: 16 авг 2011, 22:12

Гарда

Сообщение Sekretar Onipko »

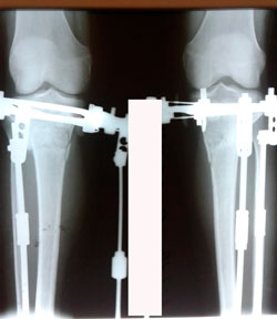
Исходник - 38 лет.
Дата операции 23.03.2020
Вложения
image-01-04-20-11-29-5.jpg
image-01-04-20-11-29-3.jpg
Аватара пользователя
Sekretar Onipko
Сообщения: 4551
Зарегистрирован: 16 авг 2011, 22:12

Re: Гарда

Сообщение Sekretar Onipko »

перед крутками
Вложения
image-31-03-20-05-26-1.jpg
Аватара пользователя
Sekretar Onipko
Сообщения: 4551
Зарегистрирован: 16 авг 2011, 22:12

Re: Гарда

Сообщение Sekretar Onipko »

Дата операции 23.03.2020
Дата снятия аппаратов - 07.07.2020
Вложения
image-07-07-20-04-32-5.jpg
image-07-07-20-04-32-4.jpg
Аватара пользователя
Sekretar Onipko
Сообщения: 4551
Зарегистрирован: 16 авг 2011, 22:12

Re: Гарда

Сообщение Sekretar Onipko »

Дата операции 23.03.2020
Дата снятия аппаратов - 07.07.2020
Вложения
image-01-04-20-11-29-5.jpg
image-01-04-20-11-29-6.jpg
Ответить