Исходник - 44 года.
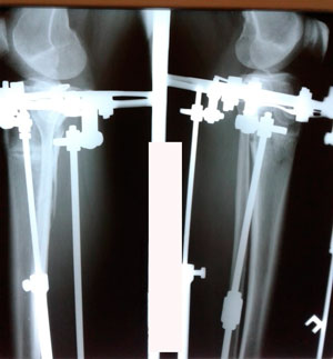
Дата операции - 17.03.2020
Кьянти
- Sekretar Onipko
- Сообщения: 4551
- Зарегистрирован: 16 авг 2011, 22:12
- Sekretar Onipko
- Сообщения: 4551
- Зарегистрирован: 16 авг 2011, 22:12
Re: Кьянти
Дата операции - 17.03.2020
Дата снятия аппаратов - 17.06.2020
Срок сращения - 90 дней.
Дата снятия аппаратов - 17.06.2020
Срок сращения - 90 дней.
- Sekretar Onipko
- Сообщения: 4551
- Зарегистрирован: 16 авг 2011, 22:12
Re: Кьянти
Дата операции - 17.03.2020
Дата снятия аппаратов - 17.06.2020
Срок сращения - 90 дней.
Дата снятия аппаратов - 17.06.2020
Срок сращения - 90 дней.