Цветочек

В этом разделе каждый желающий может разместить свой рассказ об операции по исправлению "О-образной" кривизны ног. Здесь вы можете вести свой дневник, или разместить рассказ целиком. Приветствуется подробность изложения и размещение фото и видео материала.
Ответить
Аватара пользователя
Sekretar Onipko
Сообщения: 4551
Зарегистрирован: 16 авг 2011, 22:12

Цветочек

Сообщение Sekretar Onipko »

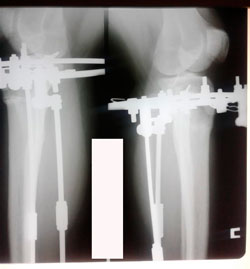
Исходник - 36 лет
Дата операции - 13.03.2020
Вложения
image-12-03-20-07-00.jpg
image-12-03-20-07-00-6.jpg
Аватара пользователя
Sekretar Onipko
Сообщения: 4551
Зарегистрирован: 16 авг 2011, 22:12

Re: Цветочек

Сообщение Sekretar Onipko »

Перед крутками
Вложения
image-23-03-20-12-24.jpg
Аватара пользователя
Sekretar Onipko
Сообщения: 4551
Зарегистрирован: 16 авг 2011, 22:12

Re: Цветочек

Сообщение Sekretar Onipko »

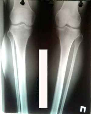
Дата операции - 13.03.2020
Дата снятия аппаратов - 26.06.2020
Вложения
image-26-06-20-12-40-1.jpg
image-26-06-20-12-40.jpg
Аватара пользователя
Sekretar Onipko
Сообщения: 4551
Зарегистрирован: 16 авг 2011, 22:12

Re: Цветочек

Сообщение Sekretar Onipko »

Дата операции - 13.03.2020
Дата снятия аппаратов - 26.06.2020
Вложения
image-12-03-20-07-00-3.jpg
image-12-03-20-07-00-1.jpg
Ответить