Весна - Красна

В этом разделе каждый желающий может разместить свой рассказ об операции по исправлению "О-образной" кривизны ног. Здесь вы можете вести свой дневник, или разместить рассказ целиком. Приветствуется подробность изложения и размещение фото и видео материала.
Ответить
Аватара пользователя
Sekretar Onipko
Сообщения: 4551
Зарегистрирован: 16 авг 2011, 22:12

Весна - Красна

Сообщение Sekretar Onipko »

Исходник - 32 года.
Дата операции - 03.03.2020
Вложения
image-02-03-20-09-06-1.jpg
image-02-03-20-09-06-5.jpg
Аватара пользователя
Sekretar Onipko
Сообщения: 4551
Зарегистрирован: 16 авг 2011, 22:12

Re: Весна - Красна

Сообщение Sekretar Onipko »

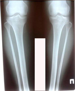
перед крутками
Вложения
image-12-03-20-09-54.jpg
Ответить