Канебо

В этом разделе каждый желающий может разместить свой рассказ об операции по исправлению "О-образной" кривизны ног. Здесь вы можете вести свой дневник, или разместить рассказ целиком. Приветствуется подробность изложения и размещение фото и видео материала.
Ответить
Аватара пользователя
Sekretar Onipko
Сообщения: 4551
Зарегистрирован: 16 авг 2011, 22:12

Канебо

Сообщение Sekretar Onipko »

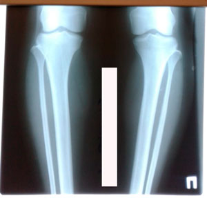
Исходник - 35 лет.
Дата операции - 06.01.2020 г.
Вложения
IMG_8138-08-01-20-07-00.JPG
IMG_8132-08-01-20-07-00.JPG
Аватара пользователя
Sekretar Onipko
Сообщения: 4551
Зарегистрирован: 16 авг 2011, 22:12

Re: Канебо

Сообщение Sekretar Onipko »

перед крутками
Вложения
IMG_8234-14-01-20-01-38.JPG
Аватара пользователя
Sekretar Onipko
Сообщения: 4551
Зарегистрирован: 16 авг 2011, 22:12

Re: Канебо

Сообщение Sekretar Onipko »

3 - ий день круток
Вложения
IMG_8328-18-01-20-08-05.JPG
Аватара пользователя
Sekretar Onipko
Сообщения: 4551
Зарегистрирован: 16 авг 2011, 22:12

Re: Канебо

Сообщение Sekretar Onipko »

В процессе работы
Вложения
IMG_8390-21-01-20-10-19.JPG
Аватара пользователя
Sekretar Onipko
Сообщения: 4551
Зарегистрирован: 16 авг 2011, 22:12

Re: Канебо

Сообщение Sekretar Onipko »

на фиксации
Вложения
IMG_8135-08-01-20-07-00.JPG
IMG_8138-08-01-20-07-00.JPG
IMG_8816-14-02-20-12-01.JPG
Ответить