Климентина

В этом разделе каждый желающий может разместить свой рассказ об операции по исправлению "О-образной" кривизны ног. Здесь вы можете вести свой дневник, или разместить рассказ целиком. Приветствуется подробность изложения и размещение фото и видео материала.
Ответить
Аватара пользователя
Sekretar Onipko
Сообщения: 4551
Зарегистрирован: 16 авг 2011, 22:12

Климентина

Сообщение Sekretar Onipko »

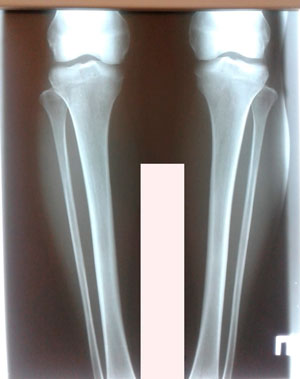
Исходник - 33 года.
Дата операции - 04.10.2019г.
Вложения
IMG_6247-05-10-19-08-04.JPG
IMG_6249-05-10-19-08-04.JPG
Ответить