♥Алмагуль♥

В этом разделе каждый желающий может разместить свой рассказ об операции по исправлению "О-образной" кривизны ног. Здесь вы можете вести свой дневник, или разместить рассказ целиком. Приветствуется подробность изложения и размещение фото и видео материала.
Ответить
Аватара пользователя
Sekretar Onipko
Сообщения: 4551
Зарегистрирован: 16 авг 2011, 22:12

♥Алмагуль♥

Сообщение Sekretar Onipko »

Исходник - 50 лет.
Дата операции - 30.07.2019г.
Вложения
IMG_4666-29-07-19-10-13.JPG
IMG_4671-29-07-19-10-13.JPG
Аватара пользователя
Sekretar Onipko
Сообщения: 4551
Зарегистрирован: 16 авг 2011, 22:12

Re: ♥Алмагуль♥

Сообщение Sekretar Onipko »

перед крутками
Вложения
IMG_4769-04-08-19-10-26.JPG
Аватара пользователя
Sekretar Onipko
Сообщения: 4551
Зарегистрирован: 16 авг 2011, 22:12

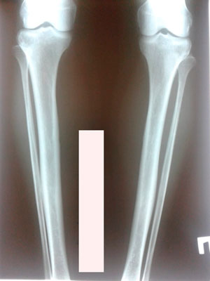
Re: ♥Алмагуль♥

Сообщение Sekretar Onipko »

рентген в 60 дней.
Вложения
IMG_6159-30-09-19-08-16.JPG
IMG_6158-30-09-19-08-16.JPG
IMG_6157-30-09-19-08-16.JPG
loginza766
Сообщения: 3
Зарегистрирован: 18 сен 2019, 13:28
Контактная информация:

Re: ♥Алмагуль♥

Сообщение loginza766 »

Привет. Очень красивые ножки получаются! А почему девочки больше не ведут дневники??? Это очень познавательно))), помогает настроиться будущим "моделям". Я вот приеду и обязательно буду вести дневник! 21700000
Ответить