Фенхель

В этом разделе каждый желающий может разместить свой рассказ об операции по исправлению "Х-образной" кривизны ног. Здесь вы можете вести свой дневник, или разместить рассказ целиком. Приветствуется подробность изложения и размещение фото и видео материала.
Аватара пользователя
Sekretar Onipko
Сообщения: 4551
Зарегистрирован: 16 авг 2011, 22:12

Фенхель

Сообщение Sekretar Onipko »

Исходник - 25 лет.
Диагноз: вальгусная деформация голеней (Х - образная)
Дата операции - 16.07.2019г.
Вложения
IMG_4305-16-07-19-10-13.JPG
IMG_4309-16-07-19-10-13.JPG
IMG_4303-16-07-19-10-13.JPG
Аватара пользователя
Sekretar Onipko
Сообщения: 4551
Зарегистрирован: 16 авг 2011, 22:12

Re: Фенхель

Сообщение Sekretar Onipko »

перед крутками
Вложения
IMG_4405-22-07-19-10-15.JPG
Аватара пользователя
Sekretar Onipko
Сообщения: 4551
Зарегистрирован: 16 авг 2011, 22:12

Re: Фенхель

Сообщение Sekretar Onipko »

в процессе исправления деформации
Вложения
IMG_4585-03-08-19-10-15.JPG
Аватара пользователя
Sekretar Onipko
Сообщения: 4551
Зарегистрирован: 16 авг 2011, 22:12

Re: Фенхель

Сообщение Sekretar Onipko »

в процессе работы
Вложения
IMG_4767-04-08-19-10-26.JPG
Аватара пользователя
Sekretar Onipko
Сообщения: 4551
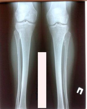
Зарегистрирован: 16 авг 2011, 22:12

Re: Фенхель

Сообщение Sekretar Onipko »

Рентген перед фиксацией
Вложения
IMG_4885-09-08-19-12-41.JPG
IMG_4884-09-08-19-12-41.JPG
Аватара пользователя
Sekretar Onipko
Сообщения: 4551
Зарегистрирован: 16 авг 2011, 22:12

Re: Фенхель

Сообщение Sekretar Onipko »

на фиксации
Вложения
IMG_5223-20-08-19-10-57.JPG
Аватара пользователя
Sekretar Onipko
Сообщения: 4551
Зарегистрирован: 16 авг 2011, 22:12

Re: Фенхель

Сообщение Sekretar Onipko »

пришла на очный осмотр
Вложения
IMG_5522-06-09-19-12-14.JPG
Аватара пользователя
Sekretar Onipko
Сообщения: 4551
Зарегистрирован: 16 авг 2011, 22:12

Re: Фенхель

Сообщение Sekretar Onipko »

рентген в 60 дней
Вложения
IMG_5871-16-09-19-08-44.JPG
IMG_5870-16-09-19-08-44.JPG
Ответить