Буги-вуги

В этом разделе каждый желающий может разместить свой рассказ об операции по исправлению "О-образной" кривизны ног. Здесь вы можете вести свой дневник, или разместить рассказ целиком. Приветствуется подробность изложения и размещение фото и видео материала.
Ответить
Аватара пользователя
Sekretar Onipko
Сообщения: 4551
Зарегистрирован: 16 авг 2011, 22:12

Буги-вуги

Сообщение Sekretar Onipko »

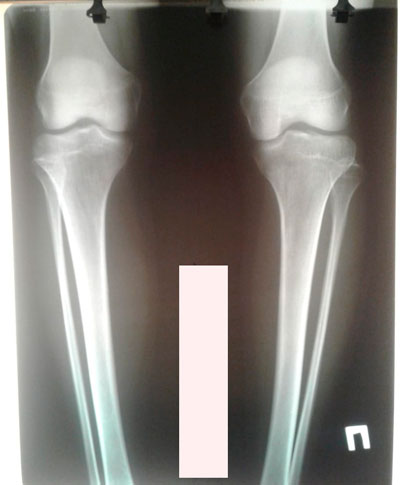
Дата операции - 20.06.2019г.
Исходник - 27 лет.
Ротация с обеих сторон.
Правая голень заметно тоньше, ратированее и деформированее.
Вложения
IMG_3737-19-06-19-03-17.JPG
IMG_3735-19-06-19-03-17.JPG
IMG_3733-19-06-19-03-17.JPG
Аватара пользователя
Sekretar Onipko
Сообщения: 4551
Зарегистрирован: 16 авг 2011, 22:12

Re: Буги-вуги

Сообщение Sekretar Onipko »

перед крутками
Вложения
IMG_3943-30-06-19-08-29.JPG
Аватара пользователя
Sekretar Onipko
Сообщения: 4551
Зарегистрирован: 16 авг 2011, 22:12

Re: Буги-вуги

Сообщение Sekretar Onipko »

последние штрихи
Вложения
IMG_4433-22-07-19-10-07.JPG
Аватара пользователя
Sekretar Onipko
Сообщения: 4551
Зарегистрирован: 16 авг 2011, 22:12

Re: Буги-вуги

Сообщение Sekretar Onipko »

в процессе работы
Вложения
IMG_4628-03-08-19-10-19.JPG
Аватара пользователя
Sekretar Onipko
Сообщения: 4551
Зарегистрирован: 16 авг 2011, 22:12

Re: Буги-вуги

Сообщение Sekretar Onipko »

на фиксации
Вложения
IMG_3735-19-06-19-03-17.JPG
IMG_3738-19-06-19-03-17.JPG
Аватара пользователя
Sekretar Onipko
Сообщения: 4551
Зарегистрирован: 16 авг 2011, 22:12

Re: Буги-вуги

Сообщение Sekretar Onipko »

Ножки и рентген перед снятием аппаратов.
Вложения
IMG_5894-17-09-19-02-26.JPG
IMG_5853-16-09-19-03-20.JPG
IMG_5852-16-09-19-03-20.JPG
Аватара пользователя
Sekretar Onipko
Сообщения: 4551
Зарегистрирован: 16 авг 2011, 22:12

Re: Буги-вуги

Сообщение Sekretar Onipko »

Дата операции - 20.06.2019г.
Дата снятия аппаратов - 17.09.2019.
Срок сращения - 87 дней.

094f316296.gif
Вложения
IMG_3736-19-06-19-03-17(2).JPG
IMG_3735-19-06-19-03-17.JPG
IMG_3735-19-06-19-03-17(2).JPG
Аватара пользователя
Sekretar Onipko
Сообщения: 4551
Зарегистрирован: 16 авг 2011, 22:12

Re: Буги-вуги

Сообщение Sekretar Onipko »

Боевые и счастливые подруги.
Вложения
IMG_5901-17-09-19-02-26.JPG
Аватара пользователя
Sekretar Onipko
Сообщения: 4551
Зарегистрирован: 16 авг 2011, 22:12

Re: Буги-вуги

Сообщение Sekretar Onipko »

phpBB [youtube]
Ответить