Кадриль)

В этом разделе каждый желающий может разместить свой рассказ об операции по исправлению "О-образной" кривизны ног. Здесь вы можете вести свой дневник, или разместить рассказ целиком. Приветствуется подробность изложения и размещение фото и видео материала.
Ответить
Аватара пользователя
Sekretar Onipko
Сообщения: 4551
Зарегистрирован: 16 авг 2011, 22:12

Кадриль)

Сообщение Sekretar Onipko »

Исходник - 39 лет.
Дата операции - 03.06.2019г.
Вложения
IMG_3432-01-06-19-11-56.JPG
IMG_3427-01-06-19-11-56.JPG
Аватара пользователя
Sekretar Onipko
Сообщения: 4551
Зарегистрирован: 16 авг 2011, 22:12

Re: Кадриль)

Сообщение Sekretar Onipko »

на фиксации
Вложения
IMG_3925-30-06-19-08-20.JPG
IMG_3932-30-06-19-08-20.JPG
Аватара пользователя
Sekretar Onipko
Сообщения: 4551
Зарегистрирован: 16 авг 2011, 22:12

Re: Кадриль)

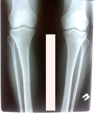
Сообщение Sekretar Onipko »

рентген в 60 дней
Вложения
IMG_4850-06-08-19-08-10.JPG
IMG_4849-06-08-19-08-10.JPG
Аватара пользователя
Sekretar Onipko
Сообщения: 4551
Зарегистрирован: 16 авг 2011, 22:12

Re: Кадриль)

Сообщение Sekretar Onipko »

ножки в 60 дней
Вложения
IMG_4859-06-08-19-09-14.JPG
IMG_4852-06-08-19-08-12.JPG
Ответить