Исходник - 35 лет.
Ротация с обеих сторон.
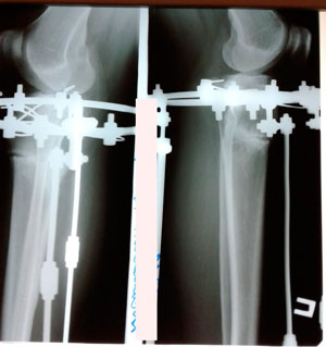
Дата операции - 08.04.2019г.
Лиссабон
- Sekretar Onipko
- Сообщения: 4551
- Зарегистрирован: 16 авг 2011, 22:12
- Sekretar Onipko
- Сообщения: 4551
- Зарегистрирован: 16 авг 2011, 22:12
- Sekretar Onipko
- Сообщения: 4551
- Зарегистрирован: 16 авг 2011, 22:12
- Sekretar Onipko
- Сообщения: 4551
- Зарегистрирован: 16 авг 2011, 22:12
- Sekretar Onipko
- Сообщения: 4551
- Зарегистрирован: 16 авг 2011, 22:12
- Sekretar Onipko
- Сообщения: 4551
- Зарегистрирован: 16 авг 2011, 22:12
- Sekretar Onipko
- Сообщения: 4551
- Зарегистрирован: 16 авг 2011, 22:12
Re: Лиссабон
Дата операции - 08.04.2019г.
Дата снятия аппаратов - 25.07.2019г.
Срок сращения - 105 дней.

Дата снятия аппаратов - 25.07.2019г.
Срок сращения - 105 дней.
