Всё впереди!

В этом разделе каждый желающий может разместить свой рассказ об операции по исправлению "О-образной" кривизны ног. Здесь вы можете вести свой дневник, или разместить рассказ целиком. Приветствуется подробность изложения и размещение фото и видео материала.
Ответить
Аватара пользователя
Sekretar Onipko
Сообщения: 4551
Зарегистрирован: 16 авг 2011, 22:12

Всё впереди!

Сообщение Sekretar Onipko »

Исходник - 34 года.
Варусная деформация голеней.
Ротация с обеих сторон.
Дата операции - 20.03.2019г.
Вложения
IMG_1912-21-03-19-03-41.gif
IMG_1914-21-03-19-03-41.gif
IMG_1911-21-03-19-03-41.JPG
Аватара пользователя
Sekretar Onipko
Сообщения: 4551
Зарегистрирован: 16 авг 2011, 22:12

Re: Всё впереди!

Сообщение Sekretar Onipko »

перед крутками
Вложения
IMG_2072-27-03-19-01-18.gif
IMG_2073-27-03-19-01-18.gif
Аватара пользователя
Sekretar Onipko
Сообщения: 4551
Зарегистрирован: 16 авг 2011, 22:12

Re: Всё впереди!

Сообщение Sekretar Onipko »

в процессе работы
Вложения
IMG_2287-09-04-19-08-26.JPG
IMG_2289-09-04-19-08-26.JPG
IMG_2288-09-04-19-08-26.JPG
Аватара пользователя
Sekretar Onipko
Сообщения: 4551
Зарегистрирован: 16 авг 2011, 22:12

Re: Всё впереди!

Сообщение Sekretar Onipko »

на фиксации!
Вложения
IMG_2482-16-04-19-07-24.JPG
IMG_2490-16-04-19-07-24.JPG
Аватара пользователя
Sekretar Onipko
Сообщения: 4551
Зарегистрирован: 16 авг 2011, 22:12

Re: Всё впереди!

Сообщение Sekretar Onipko »

63 дня.
Вложения
IMG_3363-28-05-19-11-29.JPG
IMG_3362-28-05-19-11-29.JPG
IMG_3361-28-05-19-11-29.JPG
Аватара пользователя
Sekretar Onipko
Сообщения: 4551
Зарегистрирован: 16 авг 2011, 22:12

Re: Всё впереди!

Сообщение Sekretar Onipko »

на сращении
Вложения
IMG_3597-12-06-19-11-52.JPG
Аватара пользователя
Sekretar Onipko
Сообщения: 4551
Зарегистрирован: 16 авг 2011, 22:12

Re: Всё впереди!

Сообщение Sekretar Onipko »

Дата операции - 20.03.2019г.
Дата снятия аппаратов - 04.07.2019г.
Срок сращения - 104 дня.

094f316296.gif
Вложения
IMG_1912-21-03-19-03-41.JPG
IMG_1914-21-03-19-03-41.JPG
Аватара пользователя
Sekretar Onipko
Сообщения: 4551
Зарегистрирован: 16 авг 2011, 22:12

Re: Всё впереди!

Сообщение Sekretar Onipko »

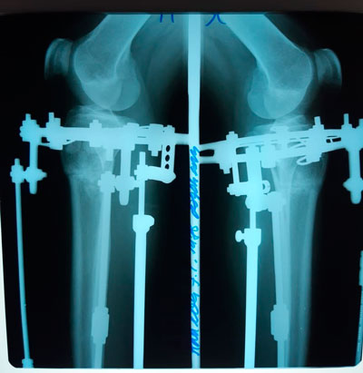
Рентген перед снятием аппаратов.
Вложения
IMG_3998-04-07-19-04-09.JPG
IMG_3999-04-07-19-04-09.JPG
Аватара пользователя
Sekretar Onipko
Сообщения: 4551
Зарегистрирован: 16 авг 2011, 22:12

Re: Всё впереди!

Сообщение Sekretar Onipko »

1,5 месяца после снятия аппаратов.
Вложения
IMG_5211-20-08-19-06-06.JPG
IMG_5210-20-08-19-06-06.JPG
IMG_5209-20-08-19-06-06.JPG
Ответить