Исходник - 33 года. Киргизия.
Дата операции - 04.03.2019г.
Мимоза2
- Sekretar Onipko
- Сообщения: 4551
- Зарегистрирован: 16 авг 2011, 22:12
- Sekretar Onipko
- Сообщения: 4551
- Зарегистрирован: 16 авг 2011, 22:12
- Sekretar Onipko
- Сообщения: 4551
- Зарегистрирован: 16 авг 2011, 22:12
- Sekretar Onipko
- Сообщения: 4551
- Зарегистрирован: 16 авг 2011, 22:12
Re: Мимоза2
Дата операции - 04.03.2019г.
Дата снятия аппаратов - 18.06.2019г.
Срок сращения - 104 дня.
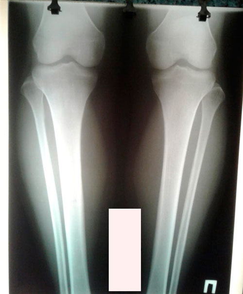
рентген перед снятием аппаратов.
Дата снятия аппаратов - 18.06.2019г.
Срок сращения - 104 дня.
рентген перед снятием аппаратов.
- Sekretar Onipko
- Сообщения: 4551
- Зарегистрирован: 16 авг 2011, 22:12
Re: Мимоза2
Дата операции - 04.03.2019г.
Дата снятия аппаратов - 18.06.2019г.
Срок сращения - 104 дня.

Дата снятия аппаратов - 18.06.2019г.
Срок сращения - 104 дня.

- Sekretar Onipko
- Сообщения: 4551
- Зарегистрирован: 16 авг 2011, 22:12