Бургундия.

В этом разделе каждый желающий может разместить свой рассказ об операции по исправлению "О-образной" кривизны ног. Здесь вы можете вести свой дневник, или разместить рассказ целиком. Приветствуется подробность изложения и размещение фото и видео материала.
Ответить
Аватара пользователя
Sekretar Onipko
Сообщения: 4551
Зарегистрирован: 16 авг 2011, 22:12

Бургундия.

Сообщение Sekretar Onipko »

Исходник-43 года. Казахстан.
Дата операции - 08.01.2019г.
094f316296.gif
Вложения
IMG_0366-08-01-19-10-17.JPG
IMG_0362-09-01-19-03-37.JPG
IMG_0363-09-01-19-03-37.JPG
Аватара пользователя
Sekretar Onipko
Сообщения: 4551
Зарегистрирован: 16 авг 2011, 22:12

Re: Бургундия.

Сообщение Sekretar Onipko »

перед крутками.
Вложения
IMG_0490-16-01-19-09-17.JPG
Аватара пользователя
Sekretar Onipko
Сообщения: 4551
Зарегистрирован: 16 авг 2011, 22:12

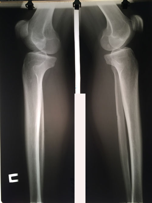
Re: Бургундия.

Сообщение Sekretar Onipko »

рентген после круток.
Вложения
IMG_0740-30-01-19-12-42.JPG
IMG_0741-30-01-19-12-42.JPG
Аватара пользователя
Sekretar Onipko
Сообщения: 4551
Зарегистрирован: 16 авг 2011, 22:12

Re: Бургундия.

Сообщение Sekretar Onipko »

На фиксации! Поехала домой на сращение!!! tachka
Вложения
IMG_0742-30-01-19-12-43.JPG
Аватара пользователя
Sekretar Onipko
Сообщения: 4551
Зарегистрирован: 16 авг 2011, 22:12

Re: Бургундия.

Сообщение Sekretar Onipko »

рентген в 62 дня.
Вложения
IMG_1787-11-03-19-06-55.JPG
IMG_1786-11-03-19-06-55.JPG
IMG_1785-11-03-19-06-55.JPG
Аватара пользователя
Sekretar Onipko
Сообщения: 4551
Зарегистрирован: 16 авг 2011, 22:12

Re: Бургундия.

Сообщение Sekretar Onipko »

Ножки в аппаратном периоде
Вложения
IMG_2130-01-04-19-10-38.JPG
Аватара пользователя
Sekretar Onipko
Сообщения: 4551
Зарегистрирован: 16 авг 2011, 22:12

Re: Бургундия.

Сообщение Sekretar Onipko »

рентген в 92 дня.
Чере 2 недели ждём на снятие аппаратов!
Вложения
IMG_2278-09-04-19-08-13.JPG
IMG_2276-09-04-19-08-13.JPG
IMG_2275-09-04-19-08-13.JPG
Аватара пользователя
Sekretar Onipko
Сообщения: 4551
Зарегистрирован: 16 авг 2011, 22:12

Re: Бургундия.

Сообщение Sekretar Onipko »

Дата операции - 08.01.2019г.
Дата снятия аппаратов - 26.04.2019г.
Срок сращения - 105 дней.

094f316296.gif
Вложения
IMG_0366-08-01-19-10-17.JPG
IMG_0369-08-01-19-10-17.JPG
IMG_2858-30-04-19-04-54.JPG
Ответить