Исходник - 28 лет. Петропавловск.
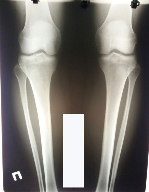
Дата операции 09.07.2018г.
Улыбашка
- Sekretar Onipko
- Сообщения: 4551
- Зарегистрирован: 16 авг 2011, 22:12
- Sekretar Onipko
- Сообщения: 4551
- Зарегистрирован: 16 авг 2011, 22:12
- Sekretar Onipko
- Сообщения: 4551
- Зарегистрирован: 16 авг 2011, 22:12
- Sekretar Onipko
- Сообщения: 4551
- Зарегистрирован: 16 авг 2011, 22:12
Re: Улыбашка
Дата операции 09.07.2018г.
Дата снятия аппаратов 24.09.02018г.
Срок сращения 75 дней.

Дата снятия аппаратов 24.09.02018г.
Срок сращения 75 дней.
