Магдалена

В этом разделе каждый желающий может разместить свой рассказ об операции по исправлению "О-образной" кривизны ног. Здесь вы можете вести свой дневник, или разместить рассказ целиком. Приветствуется подробность изложения и размещение фото и видео материала.
Ответить
Аватара пользователя
Sekretar Onipko
Сообщения: 4551
Зарегистрирован: 16 авг 2011, 22:12

Магдалена

Сообщение Sekretar Onipko »

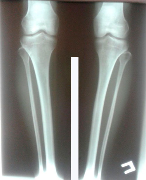
Пациентка - 30 лет. Экибастуз.
Дата операции 16.01.2018г.
Вложения
рентген до операцции
рентген до операцции
IMG-20180116-WA0002.jpg
IMG-20180116-WA0000.jpg
Аватара пользователя
Sekretar Onipko
Сообщения: 4551
Зарегистрирован: 16 авг 2011, 22:12

Re: Магдалена

Сообщение Sekretar Onipko »

Перед крутками
Вложения
IMG-20180123-WA0035.jpg
Аватара пользователя
Sekretar Onipko
Сообщения: 4551
Зарегистрирован: 16 авг 2011, 22:12

Re: Магдалена

Сообщение Sekretar Onipko »

на фиксации.
Вложения
IMG-20180205-WA0030.jpg
Аватара пользователя
Sekretar Onipko
Сообщения: 4551
Зарегистрирован: 16 авг 2011, 22:12

Re: Магдалена

Сообщение Sekretar Onipko »

на сращении.
Вложения
IMG-20180219-WA0011.jpg
Аватара пользователя
Sekretar Onipko
Сообщения: 4551
Зарегистрирован: 16 авг 2011, 22:12

Re: Магдалена

Сообщение Sekretar Onipko »

70 дней с момента операции.
Вложения
IMG-20180326-WA0039.jpg
Аватара пользователя
Sekretar Onipko
Сообщения: 4551
Зарегистрирован: 16 авг 2011, 22:12

Re: Магдалена

Сообщение Sekretar Onipko »

Дата операции 16.01.2018г.
Дата снятия аппаратов 18.05.2018г.
Срок лечения 120 дней.

094f316296.gif
Вложения
IMG-20180116-WA0002.jpg
IMG-20180116-WA0003.jpg
Ответить