♥Чикаго♥

В этом разделе каждый желающий может разместить свой рассказ об операции по исправлению "О-образной" кривизны ног. Здесь вы можете вести свой дневник, или разместить рассказ целиком. Приветствуется подробность изложения и размещение фото и видео материала.
Ответить
Аватара пользователя
Sekretar Onipko
Сообщения: 4551
Зарегистрирован: 16 авг 2011, 22:12

♥Чикаго♥

Сообщение Sekretar Onipko »

Исходник - 33 года.
Дата операции 08.09.2017г.

США, Вашингтон
Укорочение правой голени 1 см (за счёт кривизны).
Вложения
20170907_133904.jpg
Аватара пользователя
Sekretar Onipko
Сообщения: 4551
Зарегистрирован: 16 авг 2011, 22:12

Re: ♥Чикаго♥

Сообщение Sekretar Onipko »

В процессе круток.
Вложения
IMG-20170918-WA0037.jpg
Аватара пользователя
Sekretar Onipko
Сообщения: 4551
Зарегистрирован: 16 авг 2011, 22:12

Re: ♥Чикаго♥

Сообщение Sekretar Onipko »

в процессе круток
Вложения
20170925_145934.jpg
Аватара пользователя
Sekretar Onipko
Сообщения: 4551
Зарегистрирован: 16 авг 2011, 22:12

Re: ♥Чикаго♥

Сообщение Sekretar Onipko »

На фиксации.
60 дней с момента операции.
Пациентка давно ходит без дополнительных средств опоры. Нет, она не ходит, БЕГАЕТ!!!
Вложения
20171107_144926.jpg
20171107_144938.jpg
Аватара пользователя
valdemar
Администратор
Сообщения: 115
Зарегистрирован: 08 авг 2011, 16:09
Хирург: я сам хирург
Диагноз: администратор
Какую операцию Вы планируете сделать.: подлечить форум
Срок лечения.: бесконечен
Оценка результата операции.: судите сами
Откуда: Казахстан г. Павлодар

Пациентка ♥Чикаго♥

Сообщение valdemar »

phpBB [youtube]
Аватара пользователя
Sekretar Onipko
Сообщения: 4551
Зарегистрирован: 16 авг 2011, 22:12

Re: ♥Чикаго♥

Сообщение Sekretar Onipko »

Дата операции 08.09.2017г.
Дата снятия аппаратов 29.11.2017г.
Срок лечения 81 день.

094f316296.gif
Вложения
20170907_133904.jpg
20170907_134026.jpg
Аватара пользователя
Sekretar Onipko
Сообщения: 4551
Зарегистрирован: 16 авг 2011, 22:12

Re: ♥Чикаго♥

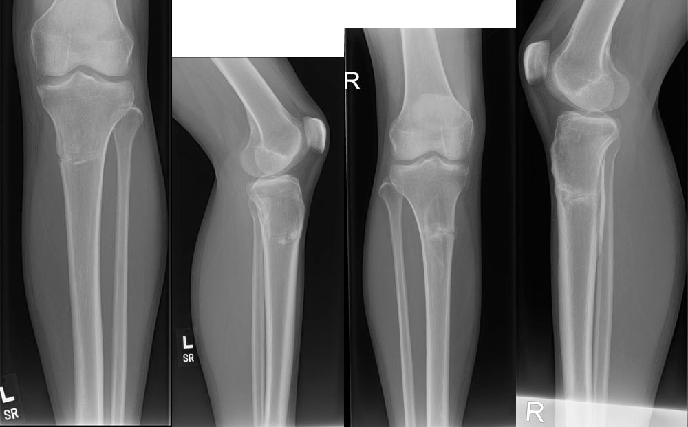
Сообщение Sekretar Onipko »

2 месяца с момента снятия аппаратов.
Здравствуйте Наталья и Николай Николаевич,
С прошедшими праздниками!
В приложении снимки обеих ног в двух проекциях. Передаю похвальные отзывы от американского мед. персонала.
Если есть дальнейшие указания, дайте знать.
Здравствуйте, Д.! Рады Вас слышать и особенно оценку Американских коллег.
Рентген отличный! Можно все, без ограничений, каблуки. Только беременность через 6 месяцев.
Вышлите пожалуйста фото ножек!
Ждем предложение о сотрудничестве от американских клиник secret kiss1
Вложения
image1.jpg
0---копия.jpg
Ответить