Калифорния

В этом разделе каждый желающий может разместить свой рассказ об операции по исправлению "О-образной" кривизны ног. Здесь вы можете вести свой дневник, или разместить рассказ целиком. Приветствуется подробность изложения и размещение фото и видео материала.
Ответить
Аватара пользователя
Sekretar Onipko
Сообщения: 4551
Зарегистрирован: 16 авг 2011, 22:12

Калифорния

Сообщение Sekretar Onipko »

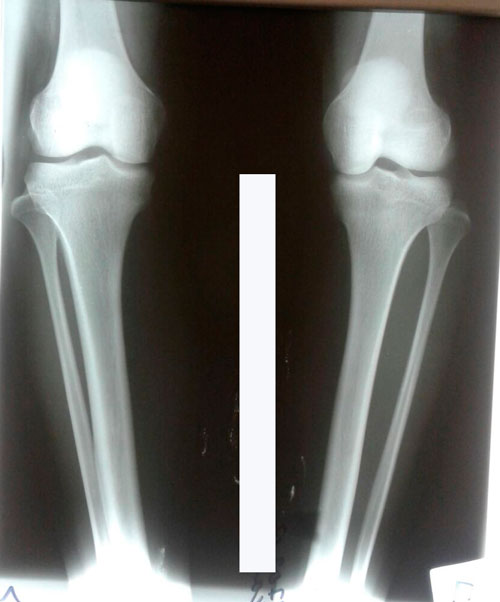
Исходник - 24 года.
2-я ротация.
Дата операции 19.07.2017г.
Вложения
20170718_135618.jpg
РЕНТГЕН ДО ОПЕРАЦИИ
РЕНТГЕН ДО ОПЕРАЦИИ
Аватара пользователя
Sekretar Onipko
Сообщения: 4551
Зарегистрирован: 16 авг 2011, 22:12

Re: Калифорния

Сообщение Sekretar Onipko »

В процессе круток.
Вложения
IMG-20170726-WA0032.jpg
Аватара пользователя
Sekretar Onipko
Сообщения: 4551
Зарегистрирован: 16 авг 2011, 22:12

Re: Калифорния

Сообщение Sekretar Onipko »

В процессе исправления деформации
Приступаем к Ротации
Вложения
IMG-20170803-WA0077.jpg
IMG-20170803-WA0075.jpg
IMG-20170803-WA0082.jpg
Аватара пользователя
Sekretar Onipko
Сообщения: 4551
Зарегистрирован: 16 авг 2011, 22:12

Re: Калифорния

Сообщение Sekretar Onipko »

Рентген и ножки в 85 дней.
Вложения
20171012_101905.jpg
20171011_095422.jpg
20171011_095339.jpg
Аватара пользователя
Sekretar Onipko
Сообщения: 4551
Зарегистрирован: 16 авг 2011, 22:12

Re: Калифорния

Сообщение Sekretar Onipko »

Дата операции 19.07.2017г
Дата снятия аппаратов 17.10.2017г.
Срок лечения 88 дней.

094f316296.gif
Вложения
IMG-20171018-WA0021.jpg
IMG-20171018-WA0020.jpg
Аватара пользователя
Sekretar Onipko
Сообщения: 4551
Зарегистрирован: 16 авг 2011, 22:12

Re: Калифорния

Сообщение Sekretar Onipko »

Дата операции 19.07.2017г
Дата снятия аппаратов 17.10.2017г.
Срок лечения 88 дней.

Только доктор Онипко может так красиво устранять Ротацию! Браво ему!!!
Вложения
20170718_135618.jpg
20170718_135626.jpg
Ответить