Бали ♥♥♥♥♥♥

В этом разделе каждый желающий может разместить свой рассказ об операции по исправлению "О-образной" кривизны ног. Здесь вы можете вести свой дневник, или разместить рассказ целиком. Приветствуется подробность изложения и размещение фото и видео материала.
Ответить
Аватара пользователя
Sekretar Onipko
Сообщения: 4551
Зарегистрирован: 16 авг 2011, 22:12

Бали ♥♥♥♥♥♥

Сообщение Sekretar Onipko »

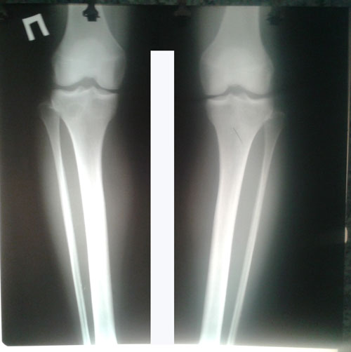
Дата операции - 14.07.2017г.
Исходник - 31 год.
Вложения
IMG-20170713-WA0029.jpg
РЕНТГЕН ДО ОПЕРАЦИИ
РЕНТГЕН ДО ОПЕРАЦИИ
Аватара пользователя
Sekretar Onipko
Сообщения: 4551
Зарегистрирован: 16 авг 2011, 22:12

Re: Бали ♥♥♥♥♥♥

Сообщение Sekretar Onipko »

перед крутками.
Вложения
20170718_132810.jpg
Аватара пользователя
Sekretar Onipko
Сообщения: 4551
Зарегистрирован: 16 авг 2011, 22:12

Re: Бали ♥♥♥♥♥♥

Сообщение Sekretar Onipko »

Рентген в процессе коррекции
Вложения
20170801_124549.jpg
20170801_124632.jpg
Аватара пользователя
Sekretar Onipko
Сообщения: 4551
Зарегистрирован: 16 авг 2011, 22:12

Re: Бали ♥♥♥♥♥♥

Сообщение Sekretar Onipko »

Дата операции 14.07.2017г.
Дата снятия аппаратов 25.09.2017г.
Срок лечения 70 дней.
Вложения
IMG-20170713-WA0029.jpg
IMG-20170713-WA0028.jpg
IMG-20170713-WA0030.jpg
Ответить