Рованиеми

В этом разделе каждый желающий может разместить свой рассказ об операции по исправлению "О-образной" кривизны ног. Здесь вы можете вести свой дневник, или разместить рассказ целиком. Приветствуется подробность изложения и размещение фото и видео материала.
Ответить
Аватара пользователя
Sekretar Onipko
Сообщения: 4551
Зарегистрирован: 16 авг 2011, 22:12

Рованиеми

Сообщение Sekretar Onipko »

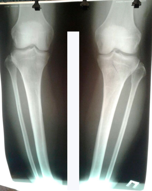
Исходник - 44 года.
Дата операции 21.03.2017г.
Вложения
IMG-20170321-WA0010.jpg
РЕНТГЕН ДО ОПЕРАЦИИ
РЕНТГЕН ДО ОПЕРАЦИИ
Аватара пользователя
Sekretar Onipko
Сообщения: 4551
Зарегистрирован: 16 авг 2011, 22:12

Re: Рованиеми

Сообщение Sekretar Onipko »

Перед крутками.
Вложения
20170327_122548.jpg
Аватара пользователя
valdemar
Администратор
Сообщения: 115
Зарегистрирован: 08 авг 2011, 16:09
Хирург: я сам хирург
Диагноз: администратор
Какую операцию Вы планируете сделать.: подлечить форум
Срок лечения.: бесконечен
Оценка результата операции.: судите сами
Откуда: Казахстан г. Павлодар

В процессе круток

Сообщение valdemar »

В процессе круток
v-protcesse-krutok.jpg
Аватара пользователя
Sekretar Onipko
Сообщения: 4551
Зарегистрирован: 16 авг 2011, 22:12

Re: Рованиеми

Сообщение Sekretar Onipko »

Дата операции 21.03.2017г.
Дата снятия аппаратов 25.07.2017г.
Срок лечения 123 дня.

094f316296.gif
Вложения
IMG_7205-25-07-17-08-18.JPG
IMG-20170321-WA0015.jpg
IMG-20170321-WA0016.jpg
Ответить