♥ Сила красоты ♥

В этом разделе каждый желающий может разместить свой рассказ об операции по исправлению "О-образной" кривизны ног. Здесь вы можете вести свой дневник, или разместить рассказ целиком. Приветствуется подробность изложения и размещение фото и видео материала.
Ответить
Аватара пользователя
Sekretar Onipko
Сообщения: 4551
Зарегистрирован: 16 авг 2011, 22:12

♥ Сила красоты ♥

Сообщение Sekretar Onipko »

Исходник - 39 лет.
Дата операции 01.07.2016г.
Вложения
image-04-07-16-08-38-16.jpg
Аватара пользователя
Sekretar Onipko
Сообщения: 4551
Зарегистрирован: 16 авг 2011, 22:12

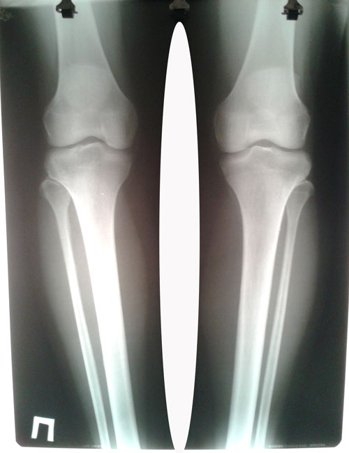
Re: ♥ Сила красоты ♥

Сообщение Sekretar Onipko »

рентген до операции.
Вложения
20160709_125209.jpg
Аватара пользователя
Sekretar Onipko
Сообщения: 4551
Зарегистрирован: 16 авг 2011, 22:12

Re: ♥ Сила красоты ♥

Сообщение Sekretar Onipko »

На сращении.
Вложения
IMG-20160720-WA0024.jpg
Аватара пользователя
Sekretar Onipko
Сообщения: 4551
Зарегистрирован: 16 авг 2011, 22:12

Re: ♥ Сила красоты ♥

Сообщение Sekretar Onipko »

На сращении.
Вложения
20160809_195321.jpg
Аватара пользователя
Sekretar Onipko
Сообщения: 4551
Зарегистрирован: 16 авг 2011, 22:12

Re: ♥ Сила красоты ♥

Сообщение Sekretar Onipko »

Дата операции 01.07.2016г.
Дата снятия аппаратов 03.11.2016г.
Срок лечения 120 дней.

094f316296.gif
Вложения
image-04-07-16-08-38-16.jpg
image-04-07-16-08-38-18.jpg
Ответить