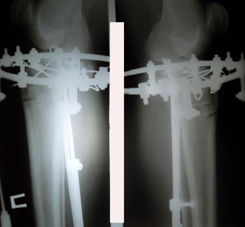
Исходник - 23 года.
Дата операции 23.03.2016г.
Месси
- Sekretar Onipko
- Сообщения: 4551
- Зарегистрирован: 16 авг 2011, 22:12
- Sekretar Onipko
- Сообщения: 4551
- Зарегистрирован: 16 авг 2011, 22:12
- Sekretar Onipko
- Сообщения: 4551
- Зарегистрирован: 16 авг 2011, 22:12
- Sekretar Onipko
- Сообщения: 4551
- Зарегистрирован: 16 авг 2011, 22:12
- Sekretar Onipko
- Сообщения: 4551
- Зарегистрирован: 16 авг 2011, 22:12
Re: Месси
Дата операции 23.03.2016г.
Дата снятия аппаратов 22.06.2016г.
Срок лечения 89 дней.

P.S. пациент сросся за 74 дня. По желанию клиента, мы перехаживали.
Дата снятия аппаратов 22.06.2016г.
Срок лечения 89 дней.
P.S. пациент сросся за 74 дня. По желанию клиента, мы перехаживали.