Моя история. Реальная ситуация с моей дочерью.
Моя история. Реальная ситуация с моей дочерью.
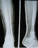
Хочу описать мою и моего мужа состояние, особенно его. который так трепетно относится к своему первенцу, в которой души не чает. Наша девочка очень подвижная, даже очень, оно понятно-познаёт мир. Мы уже свыклись с её постоянными царапинами, ушибами, ссадинами. Но 6 июня случилось супер вон выходящее... Во время прогулок в детском саду, качаясь на качелях, она с неё упала и сломала ногу. Как я узнала от воспитателя, сразу-же вызвали скорую помощь и отвезли в детскую больницу. Мне позвонили и через пол часа я уже была там. Она была бледная, слабенькая, перепуганная, я как понимаю в шоке. В травмпункте ей наложили гипс на всю ногу и сказали: не беспокойтесь, всё будет хорошо. В поликлинике Вам снимут через месяц. По квынзиу пару дней дочка встала потихоньку ходить наступая на гипс. К концу снятия, она разбила его в тряпочку. В назначенный срок пришли к хирургу в поликлинику, когда сняли гипс я была в шоке. Её ножка стала колесом, стала видимо короче, а снаружи колена, какая то кость выпирала кверху. Моему возмущению не было предела, хирург молоденький парнишка, увидев что, что то не то мямлил: ну я не знаю, Вам надо обратиться в травматологическое отделение. Схватив в охапку дочку, мы с мужем не медля сразу же повезли, где накладывали гипс. В приёмном покое на наши просьбы, мольбы-СРОЧНО! Вышел солидный мужчина, посмотрел ребёнка, рентгеновские снимки и сказал:"Ну что Вы волнуетесь, кости стоят не плохо, для ребёнка это нормально. Пройдёт время и всё исправится."
Прошла неделя, всё как было, так и осталось даже хуже. Мы с мужем измеряли каждый день сантиметром, опять добились консультации. Ответ один и тот же: ну что Вы волнуетесь, всё в порядке. Но мы же видим стопа вывернута наружу, а голень короче. Появившаяся вверху кость возле колена никуда не уходит,мы поняли что в Гос.структуре нас никто не поймёт. Наслышаны с детства, так как живём в Павлодаре, о волшебствах Онипко. Чуть ли не одновременно задали вопрос друг другу, а почему сразу не обратились? В виду его занятости попали к нему на консультацию только лишь на 3-й день, подключили и родственников и всех знакомых. Осмотрев ребёнка, он сказал:" Врачи сделали всё грамотно, и сделали всё квалифицированно и правильно."
А на вопрос мужа, так почему так всё произошло? Он спокойно ответил:такое бывает. Муж опять: кто виноват-врачи, я хочу призвать их к ответственности. А Онипко: никто, так сложился случай. Это бывает редко, но встречается. У Вас глубокий косой перелом, учитывая что девочка у Вас гиперактивная, при нагрузке и ходьбе в гипсе смещение могло произойти. Но если произошло, значит кто то виноват. А муж искал знакомых адвокатов, чтобы наказать. Онипко ещё раз повторил: врачи здесь не причём и показал пальцем вверх-всё от всевышнего и многие вещи от нас не зависит. Защищая своих врачей, а он там работал 13 лет зав.отделением, убеждал нас, что может произойти само исправление с возрастом. Но на наш вопрос: Вы убеждены на 100%, долго думая со вздохом, если честно на 100-нет. И начал философствовать, что даже советский аэрофлот не даёт гарантию. У меня создалось впечатление, что у них у врачей, особенно которые работали вместе и долгие годы знали друг друга будут оправдывать, защищать и т.д. Так что нам делать? Думайте. Мы с мужем не спали ровно двое суток. На 3-й день пришли и сказали, оперируйте. И что и как это будет, объясните. "Учитывая что ребёнок через тоненькие спицы прокольчики, без швов, слегка послабив уже сросшуюся неправильно б/б кость устранив создавшуюся укорочение, скрученость кости и подвывих м/б. Уверен, что Ваш ребёнок уже через неделю будет бегать в аппарате." Поверили, потому что от него исходила такая уверенность!!! На следующий день сдали анализы и 13 июля нас прооперировали. Всё получилось на что мы надеялись, дочка на 2-й стала ходить на костылях наступая на прооперированную ножку. На 5-й день начались манипуляции с аппаратом, она вообще никак на них не реагировала и с каждым днём была всё активнее. Когда забывали напомнить ей про костыли, она ходила без них смешно прихрамывая. После рентгеновского снимка в четверг, Н.Н. ей ещё что то подкрутил и отправил нас домой в г. Иртышск. Заходила гл.медсестра, перевязочная и подробно объяснили, как делать перевязки. Убедили что всё пройдёт спокойно,а если уж 1 на 1000, то срочно на вертолёте и на площадку клиники (шучу). У нас наконец то наступило успокоение и уверенность, что всё будет хорошо. Всем спасибо.
Прошла неделя, всё как было, так и осталось даже хуже. Мы с мужем измеряли каждый день сантиметром, опять добились консультации. Ответ один и тот же: ну что Вы волнуетесь, всё в порядке. Но мы же видим стопа вывернута наружу, а голень короче. Появившаяся вверху кость возле колена никуда не уходит,мы поняли что в Гос.структуре нас никто не поймёт. Наслышаны с детства, так как живём в Павлодаре, о волшебствах Онипко. Чуть ли не одновременно задали вопрос друг другу, а почему сразу не обратились? В виду его занятости попали к нему на консультацию только лишь на 3-й день, подключили и родственников и всех знакомых. Осмотрев ребёнка, он сказал:" Врачи сделали всё грамотно, и сделали всё квалифицированно и правильно."
А на вопрос мужа, так почему так всё произошло? Он спокойно ответил:такое бывает. Муж опять: кто виноват-врачи, я хочу призвать их к ответственности. А Онипко: никто, так сложился случай. Это бывает редко, но встречается. У Вас глубокий косой перелом, учитывая что девочка у Вас гиперактивная, при нагрузке и ходьбе в гипсе смещение могло произойти. Но если произошло, значит кто то виноват. А муж искал знакомых адвокатов, чтобы наказать. Онипко ещё раз повторил: врачи здесь не причём и показал пальцем вверх-всё от всевышнего и многие вещи от нас не зависит. Защищая своих врачей, а он там работал 13 лет зав.отделением, убеждал нас, что может произойти само исправление с возрастом. Но на наш вопрос: Вы убеждены на 100%, долго думая со вздохом, если честно на 100-нет. И начал философствовать, что даже советский аэрофлот не даёт гарантию. У меня создалось впечатление, что у них у врачей, особенно которые работали вместе и долгие годы знали друг друга будут оправдывать, защищать и т.д. Так что нам делать? Думайте. Мы с мужем не спали ровно двое суток. На 3-й день пришли и сказали, оперируйте. И что и как это будет, объясните. "Учитывая что ребёнок через тоненькие спицы прокольчики, без швов, слегка послабив уже сросшуюся неправильно б/б кость устранив создавшуюся укорочение, скрученость кости и подвывих м/б. Уверен, что Ваш ребёнок уже через неделю будет бегать в аппарате." Поверили, потому что от него исходила такая уверенность!!! На следующий день сдали анализы и 13 июля нас прооперировали. Всё получилось на что мы надеялись, дочка на 2-й стала ходить на костылях наступая на прооперированную ножку. На 5-й день начались манипуляции с аппаратом, она вообще никак на них не реагировала и с каждым днём была всё активнее. Когда забывали напомнить ей про костыли, она ходила без них смешно прихрамывая. После рентгеновского снимка в четверг, Н.Н. ей ещё что то подкрутил и отправил нас домой в г. Иртышск. Заходила гл.медсестра, перевязочная и подробно объяснили, как делать перевязки. Убедили что всё пройдёт спокойно,а если уж 1 на 1000, то срочно на вертолёте и на площадку клиники (шучу). У нас наконец то наступило успокоение и уверенность, что всё будет хорошо. Всем спасибо.
Мои поздравления.
Дарья, какие Вы с мужем молодцы, что нашли правильное решение и грамотного врача. С этим Вас и поздравляю!
Операция закончена.
16 августа аппарат снят без наркоза. Сделали ей детское обезболивающее внутримышечно. Похныкала чуть-чуть. После снятия бегает и прыгает! Свободно может стоять на одной ноге, с которой только что сняли аппарат. Ножки одинаковые и ровные. Всем кто принимал участие в лечении моей дочери, огромное родительское СПАСИБО!
- Neznakomka
- Сообщения: 4
- Зарегистрирован: 23 ноя 2011, 16:40
- Откуда: Алматы
Re: Моя история. Реальная ситуация с моей дочерью.
Ребёнок, какая ты молодец! Вот такие заботливые родители должны быть! Малышка, тебе повезло с мамой и папой, а ещё с доктором! Здоровья и счастья тебе, не болей больше никогда! 