Whitney Houston

В этом разделе каждый желающий может разместить свой рассказ об операции по исправлению "О-образной" кривизны ног. Здесь вы можете вести свой дневник, или разместить рассказ целиком. Приветствуется подробность изложения и размещение фото и видео материала.
Ответить
Аватара пользователя
Sekretar Onipko
Сообщения: 4551
Зарегистрирован: 16 авг 2011, 22:12

Whitney Houston

Сообщение Sekretar Onipko »

Исходник - 26 лет.
Дата операции - 08.05.2019г.
Вложения
IMG_3131-12-05-19-07-39.JPG
IMG_3138-12-05-19-07-39.JPG
Аватара пользователя
Sekretar Onipko
Сообщения: 4551
Зарегистрирован: 16 авг 2011, 22:12

Re: Whitney Houston

Сообщение Sekretar Onipko »

перед крутками
Вложения
IMG_3185-14-05-19-11-58.JPG
Аватара пользователя
valdemar
Администратор
Сообщения: 115
Зарегистрирован: 08 авг 2011, 16:09
Хирург: я сам хирург
Диагноз: администратор
Какую операцию Вы планируете сделать.: подлечить форум
Срок лечения.: бесконечен
Оценка результата операции.: судите сами
Откуда: Казахстан г. Павлодар

Re: Whitney Houston

Сообщение valdemar »

phpBB [youtube]
Аватара пользователя
valdemar
Администратор
Сообщения: 115
Зарегистрирован: 08 авг 2011, 16:09
Хирург: я сам хирург
Диагноз: администратор
Какую операцию Вы планируете сделать.: подлечить форум
Срок лечения.: бесконечен
Оценка результата операции.: судите сами
Откуда: Казахстан г. Павлодар

Re: Whitney Houston

Сообщение valdemar »

phpBB [youtube]
Аватара пользователя
Sekretar Onipko
Сообщения: 4551
Зарегистрирован: 16 авг 2011, 22:12

Re: Whitney Houston

Сообщение Sekretar Onipko »

5 ый ень круток
Вложения
IMG_3326-24-05-19-12-52.JPG
Аватара пользователя
Sekretar Onipko
Сообщения: 4551
Зарегистрирован: 16 авг 2011, 22:12

Re: Whitney Houston

Сообщение Sekretar Onipko »

на фиксации
Вложения
IMG_3381-28-05-19-08-58.JPG
Аватара пользователя
Sekretar Onipko
Сообщения: 4551
Зарегистрирован: 16 авг 2011, 22:12

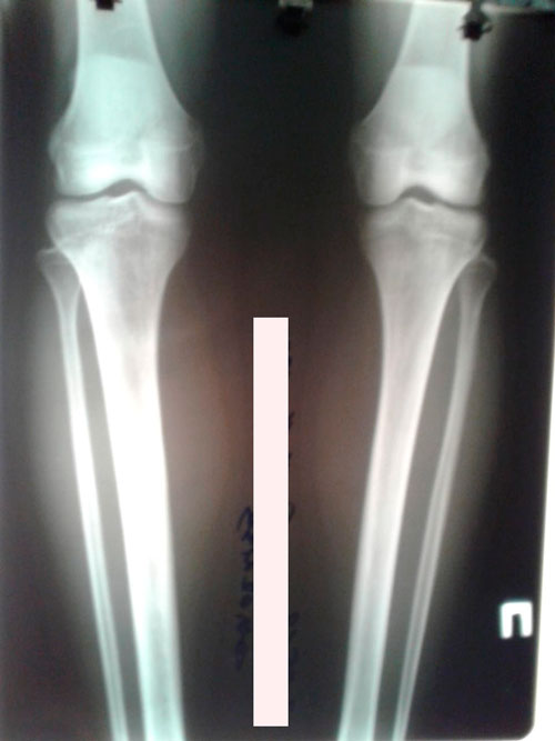
Re: Whitney Houston

Сообщение Sekretar Onipko »

рентген в 60 дней.
Вложения
IMG_4146-10-07-19-09-26.JPG
IMG_4145-10-07-19-09-26.JPG
Аватара пользователя
Sekretar Onipko
Сообщения: 4551
Зарегистрирован: 16 авг 2011, 22:12

Re: Whitney Houston

Сообщение Sekretar Onipko »

Дата операции - 08.05.2019г.
Дата снятия аппаратов -03.08.2019г.
Срок сращения - 85 дней.
Вложения
IMG_3130-12-05-19-07-39.JPG
IMG_3134-12-05-19-07-39.JPG
Аватара пользователя
Sekretar Onipko
Сообщения: 4551
Зарегистрирован: 16 авг 2011, 22:12

Re: Whitney Houston

Сообщение Sekretar Onipko »

рентген перед снятием аппаратов
Вложения
IMG_4765-03-08-19-11-45.JPG
IMG_4764-03-08-19-11-45.JPG
Ответить