Лилия♥

В этом разделе каждый желающий может разместить свой рассказ об операции по исправлению "О-образной" кривизны ног. Здесь вы можете вести свой дневник, или разместить рассказ целиком. Приветствуется подробность изложения и размещение фото и видео материала.
Ответить
Аватара пользователя
Sekretar Onipko
Сообщения: 4551
Зарегистрирован: 16 авг 2011, 22:12

Лилия♥

Сообщение Sekretar Onipko »

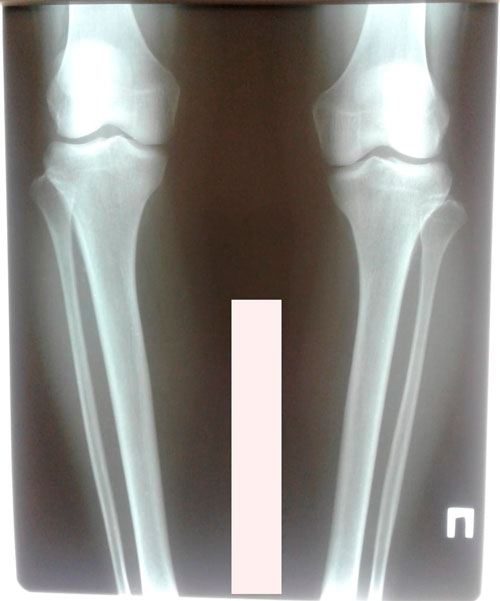
Исходник - 32 года. Атырау.
Дата операции - 25.01.2019г.
Вложения
IMG_0649-24-01-19-01-35.JPG
IMG_0645-24-01-19-01-34.JPG
Аватара пользователя
Sekretar Onipko
Сообщения: 4551
Зарегистрирован: 16 авг 2011, 22:12

Re: Лилия♥

Сообщение Sekretar Onipko »

Перед крутками.
Вложения
IMG_0786-31-01-19-10-50.JPG
Аватара пользователя
Sekretar Onipko
Сообщения: 4551
Зарегистрирован: 16 авг 2011, 22:12

Re: Лилия♥

Сообщение Sekretar Onipko »

5 - ый день круток
Вложения
IMG_1002-10-02-19-11-25.JPG
IMG_1001-10-02-19-11-25.JPG
Аватара пользователя
Sekretar Onipko
Сообщения: 4551
Зарегистрирован: 16 авг 2011, 22:12

Re: Лилия♥

Сообщение Sekretar Onipko »

ноки на сеодня 44000000
Вложения
IMG_0980-10-02-19-11-35.JPG
Аватара пользователя
Sekretar Onipko
Сообщения: 4551
Зарегистрирован: 16 авг 2011, 22:12

Re: Лилия♥

Сообщение Sekretar Onipko »

на фиксации
Вложения
IMG_1412-25-02-19-04-09.JPG
IMG_1394-25-02-19-03-24.JPG
Аватара пользователя
Sekretar Onipko
Сообщения: 4551
Зарегистрирован: 16 авг 2011, 22:12

Re: Лилия♥

Сообщение Sekretar Onipko »

50 дней с момента операции
Вложения
IMG_1938-21-03-19-03-49.gif
IMG_1939-21-03-19-03-49.gif
Аватара пользователя
Sekretar Onipko
Сообщения: 4551
Зарегистрирован: 16 авг 2011, 22:12

Re: Лилия♥

Сообщение Sekretar Onipko »

Дата операции - 25.01.2019г.
Дата снятия аппаратов - 24.04.2019г.
Срок сращения - 88 дней.

094f316296.gif
Вложения
IMG_0651-24-01-19-01-35.JPG
IMG_0648-24-01-19-01-34.JPG
IMG_2727-24-04-19-02-03.JPG
Ответить