♥Железная Леди♥
- Sekretar Onipko
- Сообщения: 4551
- Зарегистрирован: 16 авг 2011, 22:12
- valdemar
- Администратор
- Сообщения: 115
- Зарегистрирован: 08 авг 2011, 16:09
- Хирург: я сам хирург
- Диагноз: администратор
- Какую операцию Вы планируете сделать.: подлечить форум
- Срок лечения.: бесконечен
- Оценка результата операции.: судите сами
- Откуда: Казахстан г. Павлодар
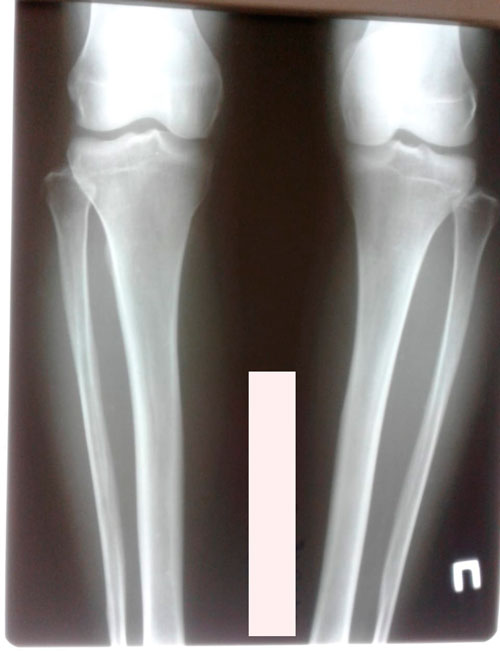
Чётвертый день после операции
Чётвертый день после операции
- Sekretar Onipko
- Сообщения: 4551
- Зарегистрирован: 16 авг 2011, 22:12
Re: ♥Железная Леди♥
перед крутками.
Это наша звезда!Уже выходит на улицу гулять(на территории Клиники)при помощи костылей.
А многие даже не знают,что такое возможно.
Это наша звезда!Уже выходит на улицу гулять(на территории Клиники)при помощи костылей.
А многие даже не знают,что такое возможно.
Re: ♥Железная Леди♥
Всем привет!
В инсте вы спрашивали как всё это происходит, сколько отверстии и многие другие вопросов.
"Происходит" это безболезненно, по крайней мере Вы под анестезией не будете чувствовать никакой боли. После операции вы приходите в себя и видите на своих ногах чудо-аппараты)) первую неделю вы будете просто учиться ходить в них. Не бойтесь, боль терпимая при ходьбе, и то только по утрам, когда вы только проснулись и пытаетесь пойти. К тому же вам будут делать обезболивающие уколы и вы сможете с помощью ходунов или коляски передвигаться по стационару. Тут уже кому что по душе. Я встала на следующий день после операции, ходила на ходунках и на 7-й день перешла на костыли. К моему удивлению костыли оказались намного удобней ходунов, так как на костылях я чувствую, что лучше и больше контролирую свои движения при ходьбе.
У меня по шесть отверстии на щиколотке и под коленом, соответственно 24 всего на двух ногах. Отверстия незначительные, и после снятия аппарата, я думаю останутся едва заметные точки на коже. В наше время существует множество средств от таких точек и поэтому я на этот счёт не парюсь. Мне главное ровные, красивые ножки. Доктор обещал мне модельные ножки
и я стараюсь много ходить))
Сегодня моим новым ножкам 13 дней, чувствую себя хорошо, сейчас хожу с одним костылём, учусь ходить самостоятельно.
В стационаре есть все удобства, палаты просторные и светлые, а персонал чуткий, внимательный и очень заботливый! Кормят вкусно и разнообразно. Единственное, о чем я сейчас переживаю, так это потолстеть
В инсте вы спрашивали как всё это происходит, сколько отверстии и многие другие вопросов.
"Происходит" это безболезненно, по крайней мере Вы под анестезией не будете чувствовать никакой боли. После операции вы приходите в себя и видите на своих ногах чудо-аппараты)) первую неделю вы будете просто учиться ходить в них. Не бойтесь, боль терпимая при ходьбе, и то только по утрам, когда вы только проснулись и пытаетесь пойти. К тому же вам будут делать обезболивающие уколы и вы сможете с помощью ходунов или коляски передвигаться по стационару. Тут уже кому что по душе. Я встала на следующий день после операции, ходила на ходунках и на 7-й день перешла на костыли. К моему удивлению костыли оказались намного удобней ходунов, так как на костылях я чувствую, что лучше и больше контролирую свои движения при ходьбе.
У меня по шесть отверстии на щиколотке и под коленом, соответственно 24 всего на двух ногах. Отверстия незначительные, и после снятия аппарата, я думаю останутся едва заметные точки на коже. В наше время существует множество средств от таких точек и поэтому я на этот счёт не парюсь. Мне главное ровные, красивые ножки. Доктор обещал мне модельные ножки
Сегодня моим новым ножкам 13 дней, чувствую себя хорошо, сейчас хожу с одним костылём, учусь ходить самостоятельно.
В стационаре есть все удобства, палаты просторные и светлые, а персонал чуткий, внимательный и очень заботливый! Кормят вкусно и разнообразно. Единственное, о чем я сейчас переживаю, так это потолстеть
Re: ♥Железная Леди♥
Всем привет!
На 15-й день после операции я перешла на трость, мне моя очаровательная подруга Инста подарила трость, чтобы я поскорее научилась ходить сама)))
На 24-й день я выписалась и уехала домой. Спустя пару дней я вышла на работу и снова села за руль!
Сегодня мне 37 дней с операции. Чувствую себя хорошо. Каждые 10 дней делаю плановую перевязку и высылаю фото ног в клинику для контроля процесса срастания. А также ежедневно проверяю бинтовые прокладки, некоторые меняю чаще (если выделяется сукровица). Хожу без вспомогательных средств, но на улицу беру с собой трость так как очень скользко. Пью витамины и правильно питаюсь, считаю дни до снятия аппаратов)) время быстро летит, казалось бы операция была ещё вчера, но уже прошло почти 40 дней. Ещё столько же и вуаля привет мои красивые ножки!!!
На 15-й день после операции я перешла на трость, мне моя очаровательная подруга Инста подарила трость, чтобы я поскорее научилась ходить сама)))
На 24-й день я выписалась и уехала домой. Спустя пару дней я вышла на работу и снова села за руль!
Сегодня мне 37 дней с операции. Чувствую себя хорошо. Каждые 10 дней делаю плановую перевязку и высылаю фото ног в клинику для контроля процесса срастания. А также ежедневно проверяю бинтовые прокладки, некоторые меняю чаще (если выделяется сукровица). Хожу без вспомогательных средств, но на улицу беру с собой трость так как очень скользко. Пью витамины и правильно питаюсь, считаю дни до снятия аппаратов)) время быстро летит, казалось бы операция была ещё вчера, но уже прошло почти 40 дней. Ещё столько же и вуаля привет мои красивые ножки!!!
- Sekretar Onipko
- Сообщения: 4551
- Зарегистрирован: 16 авг 2011, 22:12
Re: ♥Железная Леди♥
Сегодня моим красивым ножкам 40 дней. Ничего абсолютно не болит. Встаю рано и ложусь поздно, ноги перестали отекать. Аппараты уже не мешают. С 15-го дня я сплю на боку, для удобства подкладывала под колено подушку. Сейчас сплю в любом удобном для сна положении, на боку или животе.
Через три недели пойду на рентген и вышлю в клинику. И исходя из результатов буду уже покупать билеты в Павлодар, для снятия аппаратов. Я очень рада, что проперировалась. Об этой операции мечтают тысячи женщин. Хочу Вам сказать, милые дамы, без приложения усилий любая мечта так и остаётся мечтой. Здесь, как и в любом другом деле, нужно ставить цель и достигать её. Я понимаю вопрос всегда упирается в финансы. Но ради осуществления своей заветной мечты под названием "красивые и здоровые ножки" можно отказаться от нового Айфона и других маловажных вещей. Ведь здоровье на первом месте. При кривизне ног коленный сустав изнашивается преждевременно и к 40 годам начнёт беспокоить боль в коленях. Об этом я узнала недавно и понимаю почему мама жалуется на колени. Если смогу убедить её, то тоже приведу её на операцию, ей 59 лет. Хочу, чтобы она прожила долго, сохраняя подвижность до старости, чтобы она вела активный образ жизни.
Поэтому, девочки, копите на мечту)). Просто так ваша мечта сама по себе не осуществится. Никто этого не сделает за вас. Я считаю, что в мире нет ничего невозможного.
Ощущения от обладания красивыми ногами конечно прибавят мне уверенности в себе. После снятия аппаратов вообще буду самая счастливая! Вот такая я молодец! Захотела красивые ножки - сделала! И Вы тоже сможете. Только не расставайтесь со своей мечтой. И вообще прекратите называть это мечтой, а назовите своей целью. Жизнь слишком коротка, чтобы сидеть и мечтать. Нужно добиваться своего. Как сказал Уолт Дисней "Если Вы способны вообразить это, Вы способны и добиться этого". Девочки, я очень хочу, чтобы каждая из вас сияла от счастья и порхала как бабочка) чтобы у вас были здоровые и ровные ножки!
P.S. Многие женщины сравнивают операцию (о которой речь) с родами. Тут конечно мнения субъективны. Но роды в 50 раз больнее. Позже пришлю подтверждение этого предположения.
Через три недели пойду на рентген и вышлю в клинику. И исходя из результатов буду уже покупать билеты в Павлодар, для снятия аппаратов. Я очень рада, что проперировалась. Об этой операции мечтают тысячи женщин. Хочу Вам сказать, милые дамы, без приложения усилий любая мечта так и остаётся мечтой. Здесь, как и в любом другом деле, нужно ставить цель и достигать её. Я понимаю вопрос всегда упирается в финансы. Но ради осуществления своей заветной мечты под названием "красивые и здоровые ножки" можно отказаться от нового Айфона и других маловажных вещей. Ведь здоровье на первом месте. При кривизне ног коленный сустав изнашивается преждевременно и к 40 годам начнёт беспокоить боль в коленях. Об этом я узнала недавно и понимаю почему мама жалуется на колени. Если смогу убедить её, то тоже приведу её на операцию, ей 59 лет. Хочу, чтобы она прожила долго, сохраняя подвижность до старости, чтобы она вела активный образ жизни.
Поэтому, девочки, копите на мечту)). Просто так ваша мечта сама по себе не осуществится. Никто этого не сделает за вас. Я считаю, что в мире нет ничего невозможного.
Ощущения от обладания красивыми ногами конечно прибавят мне уверенности в себе. После снятия аппаратов вообще буду самая счастливая! Вот такая я молодец! Захотела красивые ножки - сделала! И Вы тоже сможете. Только не расставайтесь со своей мечтой. И вообще прекратите называть это мечтой, а назовите своей целью. Жизнь слишком коротка, чтобы сидеть и мечтать. Нужно добиваться своего. Как сказал Уолт Дисней "Если Вы способны вообразить это, Вы способны и добиться этого". Девочки, я очень хочу, чтобы каждая из вас сияла от счастья и порхала как бабочка) чтобы у вас были здоровые и ровные ножки!
P.S. Многие женщины сравнивают операцию (о которой речь) с родами. Тут конечно мнения субъективны. Но роды в 50 раз больнее. Позже пришлю подтверждение этого предположения.
- Sekretar Onipko
- Сообщения: 4551
- Зарегистрирован: 16 авг 2011, 22:12
Re: ♥Железная Леди♥
Дата операции- 18.12.2018г.
Дата снятия аппаратов - 05.03.2019г.
Срок сращения - 75 дней.

Дата снятия аппаратов - 05.03.2019г.
Срок сращения - 75 дней.
