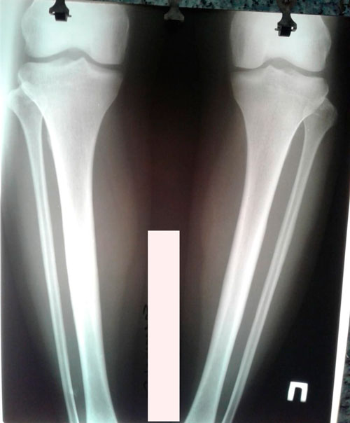
Исходник-28 лет.Павлодар.
Дата операции - 08.10.2018г.
Салоу♥
- Sekretar Onipko
- Сообщения: 4551
- Зарегистрирован: 16 авг 2011, 22:12
- Sekretar Onipko
- Сообщения: 4551
- Зарегистрирован: 16 авг 2011, 22:12
- Sekretar Onipko
- Сообщения: 4551
- Зарегистрирован: 16 авг 2011, 22:12
Re: Салоу♥
Дата операции - 08.10.2018г.
Дата снятия аппаратов - 07.01.2019г.
Срок сращения - 90 дней.

Дата снятия аппаратов - 07.01.2019г.
Срок сращения - 90 дней.
