Инста♥

В этом разделе каждый желающий может разместить свой рассказ об операции по исправлению "О-образной" кривизны ног. Здесь вы можете вести свой дневник, или разместить рассказ целиком. Приветствуется подробность изложения и размещение фото и видео материала.
Ответить
Аватара пользователя
Sekretar Onipko
Сообщения: 4551
Зарегистрирован: 16 авг 2011, 22:12

Инста♥

Сообщение Sekretar Onipko »

Исходник - 35 лет. Киргизия.
Ротация с обеих сторон.
Дата операции -25.12.2018г.
Вложения
IMG-20181225-WA0014.jpg
IMG-20181225-WA0012.jpg
Аватара пользователя
Sekretar Onipko
Сообщения: 4551
Зарегистрирован: 16 авг 2011, 22:12

Re: Инста♥

Сообщение Sekretar Onipko »

в процессе работы
Вложения
IMG_0483-16-01-19-09-17.JPG
Аватара пользователя
Sekretar Onipko
Сообщения: 4551
Зарегистрирован: 16 авг 2011, 22:12

Re: Инста♥

Сообщение Sekretar Onipko »

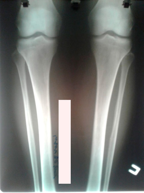
рентген в 60 дней.
Планируем снятие аппаратов в 75 дней.
НАПОМИНАЕМ: высылать фото ног,каждые 2 недели на указанный эл. адрес или ВАтсап
Вложения
IMG_1460-26-02-19-09-47.JPG
IMG_1459-26-02-19-09-47.JPG
Аватара пользователя
Sekretar Onipko
Сообщения: 4551
Зарегистрирован: 16 авг 2011, 22:12

Re: Инста♥

Сообщение Sekretar Onipko »

Дата операции -25.12.2018г.
Дата снятия аппаратов - 09.04.2019г.
Срок лечения 98 дней.

094f316296.gif
Вложения
IMG-20181225-WA0014.jpg
IMG-20181225-WA0013.jpg
Ответить