Sorrento

В этом разделе каждый желающий может разместить свой рассказ об операции по исправлению "О-образной" кривизны ног. Здесь вы можете вести свой дневник, или разместить рассказ целиком. Приветствуется подробность изложения и размещение фото и видео материала.
Ответить
Аватара пользователя
Sekretar Onipko
Сообщения: 4551
Зарегистрирован: 16 авг 2011, 22:12

Sorrento

Сообщение Sekretar Onipko »

Исходник - 31 год. Уральск.
Дата операции - 25.09.2018г.
Вложения
IMG-20180924-WA0018.jpg
IMG-20180926-WA0011.jpg
Аватара пользователя
Sekretar Onipko
Сообщения: 4551
Зарегистрирован: 16 авг 2011, 22:12

Re: Sorrento

Сообщение Sekretar Onipko »

Перед крутками
Вложения
IMG-20181002-WA0018.jpg
Аватара пользователя
Sekretar Onipko
Сообщения: 4551
Зарегистрирован: 16 авг 2011, 22:12

Re: Sorrento

Сообщение Sekretar Onipko »

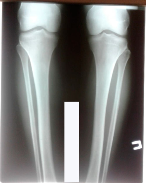
ножки на сращении.
Вложения
IMG-20181118-WA0016.jpg
IMG-20181118-WA0017.jpg
Аватара пользователя
Sekretar Onipko
Сообщения: 4551
Зарегистрирован: 16 авг 2011, 22:12

Re: Sorrento

Сообщение Sekretar Onipko »

Ножки на сегодня.
Вложения
IMG-20181201-WA0007.jpg
Ответить