Starlight
- Sekretar Onipko
- Сообщения: 4551
- Зарегистрирован: 16 авг 2011, 22:12
- Sekretar Onipko
- Сообщения: 4551
- Зарегистрирован: 16 авг 2011, 22:12
- Sekretar Onipko
- Сообщения: 4551
- Зарегистрирован: 16 авг 2011, 22:12
- Sekretar Onipko
- Сообщения: 4551
- Зарегистрирован: 16 авг 2011, 22:12
- Sekretar Onipko
- Сообщения: 4551
- Зарегистрирован: 16 авг 2011, 22:12
- Sekretar Onipko
- Сообщения: 4551
- Зарегистрирован: 16 авг 2011, 22:12
- valdemar
- Администратор
- Сообщения: 115
- Зарегистрирован: 08 авг 2011, 16:09
- Хирург: я сам хирург
- Диагноз: администратор
- Какую операцию Вы планируете сделать.: подлечить форум
- Срок лечения.: бесконечен
- Оценка результата операции.: судите сами
- Откуда: Казахстан г. Павлодар
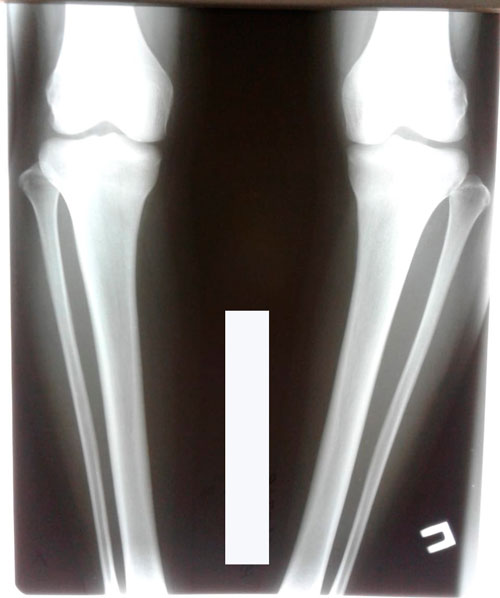
Ножки на сегодня
Ножки на сегодня
- Sekretar Onipko
- Сообщения: 4551
- Зарегистрирован: 16 авг 2011, 22:12
Re: Starlight
Дата операции - 13.07.2018г.
Дата снятия аппаратов - 15.10.2018г.
Срок лечения - 90 дней.

Дата снятия аппаратов - 15.10.2018г.
Срок лечения - 90 дней.
