По примеру сестры
- Sekretar Onipko
- Сообщения: 4551
- Зарегистрирован: 16 авг 2011, 22:12
- Sekretar Onipko
- Сообщения: 4551
- Зарегистрирован: 16 авг 2011, 22:12
- Sekretar Onipko
- Сообщения: 4551
- Зарегистрирован: 16 авг 2011, 22:12
- Sekretar Onipko
- Сообщения: 4551
- Зарегистрирован: 16 авг 2011, 22:12
- Sekretar Onipko
- Сообщения: 4551
- Зарегистрирован: 16 авг 2011, 22:12
Re: По примеру сестры
Дата операции - 12.10.2017г.
Дата снятия аппаратов 22.01.2018г.
Срок лечения 100 дней.

Дата снятия аппаратов 22.01.2018г.
Срок лечения 100 дней.

- Sekretar Onipko
- Сообщения: 4551
- Зарегистрирован: 16 авг 2011, 22:12
Re: По примеру сестры
Дата операции - 12.10.2017г.
Дата снятия аппаратов 22.01.2018г.
Срок лечения 100 дней.

Дата снятия аппаратов 22.01.2018г.
Срок лечения 100 дней.

- Sekretar Onipko
- Сообщения: 4551
- Зарегистрирован: 16 авг 2011, 22:12
- Sekretar Onipko
- Сообщения: 4551
- Зарегистрирован: 16 авг 2011, 22:12
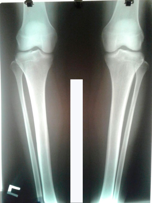
Re: По примеру сестры
1,5 месяца с момента снятия аппаратов.
Всё в норме!
Физическая нагрузка по нарастающей, каблучки по нарастающей (от меньшего к более высоким), беременеть через 6 месяцев.

Всё в норме!
Физическая нагрузка по нарастающей, каблучки по нарастающей (от меньшего к более высоким), беременеть через 6 месяцев.