Исходник - 19 лет.
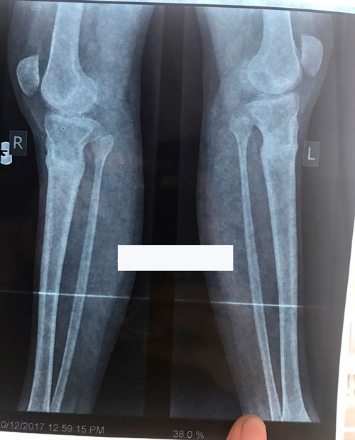
Дата операции 25.05.2017г.
Скромница♥
- Sekretar Onipko
- Сообщения: 4551
- Зарегистрирован: 16 авг 2011, 22:12
- Sekretar Onipko
- Сообщения: 4551
- Зарегистрирован: 16 авг 2011, 22:12
- valdemar
- Администратор
- Сообщения: 115
- Зарегистрирован: 08 авг 2011, 16:09
- Хирург: я сам хирург
- Диагноз: администратор
- Какую операцию Вы планируете сделать.: подлечить форум
- Срок лечения.: бесконечен
- Оценка результата операции.: судите сами
- Откуда: Казахстан г. Павлодар
В процессе круток
В процессе круток
- Sekretar Onipko
- Сообщения: 4551
- Зарегистрирован: 16 авг 2011, 22:12
Re: Скромница♥
58 дней.
Не забывайте высылать фото ножек каждые 2 недели!!!
Через 2 недели можно на снятие аппаратов.
Не забывайте высылать фото ножек каждые 2 недели!!!
Через 2 недели можно на снятие аппаратов.
- Sekretar Onipko
- Сообщения: 4551
- Зарегистрирован: 16 авг 2011, 22:12
Re: Скромница♥
Дата операции 25.05.2017г.
Дата снятия аппаратов 10.08.2017г.
Срок лечения 75 дней.

PS. Этот ребёнок приехал к нам с "кучей" комплексов: зажатая, испуганная и не уверенная в себе девочка. Она стеснялась своих ног.
Теперь она с гордостью будет носить новые ножки и радовать их красивыми нарядами!
Будь счастлива!!!
Дата снятия аппаратов 10.08.2017г.
Срок лечения 75 дней.

PS. Этот ребёнок приехал к нам с "кучей" комплексов: зажатая, испуганная и не уверенная в себе девочка. Она стеснялась своих ног.
Теперь она с гордостью будет носить новые ножки и радовать их красивыми нарядами!
Будь счастлива!!!
- Sekretar Onipko
- Сообщения: 4551
- Зарегистрирован: 16 авг 2011, 22:12