♥Сестра ЭлиГули♥

В этом разделе каждый желающий может разместить свой рассказ об операции по исправлению "О-образной" кривизны ног. Здесь вы можете вести свой дневник, или разместить рассказ целиком. Приветствуется подробность изложения и размещение фото и видео материала.
Ответить
Аватара пользователя
Sekretar Onipko
Сообщения: 4551
Зарегистрирован: 16 авг 2011, 22:12

♥Сестра ЭлиГули♥

Сообщение Sekretar Onipko »

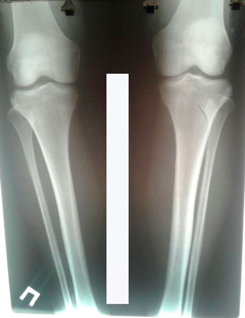
Исходник - 40 лет.
Дата операции - 28.03.2017г.
Вложения
20170327_132243.jpg
РЕНТГЕН ДО ОПЕРАЦИИ
РЕНТГЕН ДО ОПЕРАЦИИ
Аватара пользователя
Sekretar Onipko
Сообщения: 4551
Зарегистрирован: 16 авг 2011, 22:12

Re: ♥Сестра ЭлиГули♥

Сообщение Sekretar Onipko »

вечерняя тусовка девочек! gruppapdergky
Вложения
IMG-20170329-WA0024.jpg
Аватара пользователя
valdemar
Администратор
Сообщения: 115
Зарегистрирован: 08 авг 2011, 16:09
Хирург: я сам хирург
Диагноз: администратор
Какую операцию Вы планируете сделать.: подлечить форум
Срок лечения.: бесконечен
Оценка результата операции.: судите сами
Откуда: Казахстан г. Павлодар

Последние штрихи

Сообщение valdemar »

Последние штрихи
poslednie-shtrihi.jpg
Аватара пользователя
Sekretar Onipko
Сообщения: 4551
Зарегистрирован: 16 авг 2011, 22:12

Re: ♥Сестра ЭлиГули♥

Сообщение Sekretar Onipko »

Дата операции 28.03.2017г.
Дата снятия аппаратов 12.07.2017г.
Срок лечения 109 дней.

094f316296.gif
Вложения
20170327_132243.jpg
20170327_132315.jpg
Аватара пользователя
Sekretar Onipko
Сообщения: 4551
Зарегистрирован: 16 авг 2011, 22:12

Re: ♥Сестра ЭлиГули♥

Сообщение Sekretar Onipko »

Семейная династия!
ЭляГуля
Дочь ЭлиГули
Сестра ЭлиГули
094f316296.gif
Спасибо девочки за красивое фото ножек! 23100000
Вложения
IMG-20170722-WA0053.jpg
Аватара пользователя
Sekretar Onipko
Сообщения: 4551
Зарегистрирован: 16 авг 2011, 22:12

Re: ♥Сестра ЭлиГули♥

Сообщение Sekretar Onipko »

А теперь вспомним, как было до операции ;)
Вложения
SAM_7844.JPG
Ответить