Фьюмичино
- Sekretar Onipko
- Сообщения: 4551
- Зарегистрирован: 16 авг 2011, 22:12
- valdemar
- Администратор
- Сообщения: 115
- Зарегистрирован: 08 авг 2011, 16:09
- Хирург: я сам хирург
- Диагноз: администратор
- Какую операцию Вы планируете сделать.: подлечить форум
- Срок лечения.: бесконечен
- Оценка результата операции.: судите сами
- Откуда: Казахстан г. Павлодар
крутки закончены
Основные крутки закончены ! Ждём рентген.
Re: Фьюмичино
Круто.Скорейшего сращении.
- Sekretar Onipko
- Сообщения: 4551
- Зарегистрирован: 16 авг 2011, 22:12
Re: Фьюмичино
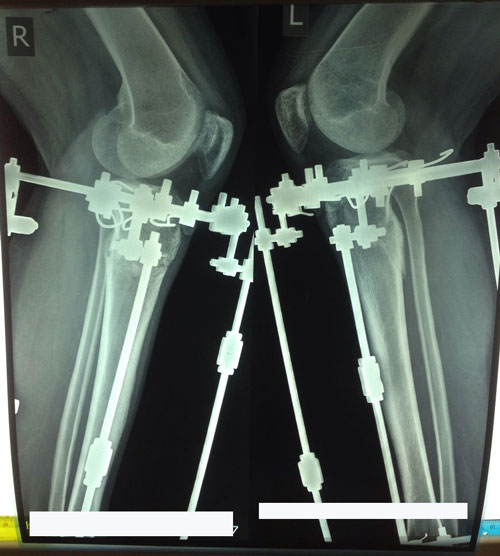
Рентген в 60 дней.
Процесс сращения идёт хорошо, ждём повторный рентген в 80 - 85 дней.
Процесс сращения идёт хорошо, ждём повторный рентген в 80 - 85 дней.
- Sekretar Onipko
- Сообщения: 4551
- Зарегистрирован: 16 авг 2011, 22:12
Re: Фьюмичино
Очень красиво.
- Sekretar Onipko
- Сообщения: 4551
- Зарегистрирован: 16 авг 2011, 22:12
Re: Фьюмичино
Дата операции 10.02.2017г.
Дата снятия аппаратов 10.05.2017г.
Срок лечения 90 дней.

Дата снятия аппаратов 10.05.2017г.
Срок лечения 90 дней.

- Sekretar Onipko
- Сообщения: 4551
- Зарегистрирован: 16 авг 2011, 22:12