Терачина♥♥♥
- Sekretar Onipko
- Сообщения: 4551
- Зарегистрирован: 16 авг 2011, 22:12
Терачина♥♥♥
Дата операции 03.12.2015г.
Исходник - 51 год.
У пациентки начальная стадия артроза, остеопороз, протрузия диска L5- S1
Исходник - 51 год.
У пациентки начальная стадия артроза, остеопороз, протрузия диска L5- S1
- Sekretar Onipko
- Сообщения: 4551
- Зарегистрирован: 16 авг 2011, 22:12
- Sekretar Onipko
- Сообщения: 4551
- Зарегистрирован: 16 авг 2011, 22:12
- Sekretar Onipko
- Сообщения: 4551
- Зарегистрирован: 16 авг 2011, 22:12
- Sekretar Onipko
- Сообщения: 4551
- Зарегистрирован: 16 авг 2011, 22:12
- Sekretar Onipko
- Сообщения: 4551
- Зарегистрирован: 16 авг 2011, 22:12
- Sekretar Onipko
- Сообщения: 4551
- Зарегистрирован: 16 авг 2011, 22:12
Re: Терачина♥♥♥
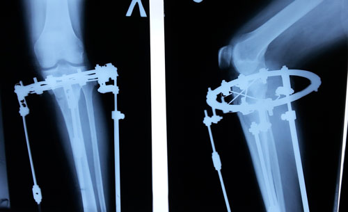
Рентген в 62 дня.
Сращение идёт отлично для этого срока и возраста пациентки.
Сращение идёт отлично для этого срока и возраста пациентки.
- Sekretar Onipko
- Сообщения: 4551
- Зарегистрирован: 16 авг 2011, 22:12
Re: Терачина♥♥♥
Ножки на сегодня!
При судорогах - Мидокалм (табл.) 2 раза в день (утром и вечером) после еды. Курс 7 дней. Восстановительное послеоперационное лечение в травматолого-ортопедической практике.
В таких случаях, делают тепловые процедуры: прикладывать тёплые грелки(электрогрелки), тёплые мешочки с песком, солью (выбирайте более удобный для Вас вариант). Можете обложить ноги бутылками пластиковыми с горячей водой (но не кипятком, чтобы было комфортно).
Присоединить лёгкий массаж для улучшения кровообращения.
Причины судорог в аппаратном периоде могут быть различными: различные перемены в работе организма, недостаток в крови минеральных веществ, малоподвижность, несистемные физические нагрузки и т.д.
Нужно улучить кровообращение.
Здравствуйте, .Терачина! Ножки по фото - отлично!Здравствуйте. Не знаю надо сообщать..., что у меня судороги в ногах. Например, лежу без движения, потом когда начинаю двигаться сильные судороги начинаются.
До операции тоже были, но редко. А сейчас постоянно, даже когда в положении - сидя. Появились недели две как.
При судорогах - Мидокалм (табл.) 2 раза в день (утром и вечером) после еды. Курс 7 дней. Восстановительное послеоперационное лечение в травматолого-ортопедической практике.
В таких случаях, делают тепловые процедуры: прикладывать тёплые грелки(электрогрелки), тёплые мешочки с песком, солью (выбирайте более удобный для Вас вариант). Можете обложить ноги бутылками пластиковыми с горячей водой (но не кипятком, чтобы было комфортно).
Присоединить лёгкий массаж для улучшения кровообращения.
Причины судорог в аппаратном периоде могут быть различными: различные перемены в работе организма, недостаток в крови минеральных веществ, малоподвижность, несистемные физические нагрузки и т.д.
Нужно улучить кровообращение.
- Sekretar Onipko
- Сообщения: 4551
- Зарегистрирован: 16 авг 2011, 22:12
- Sekretar Onipko
- Сообщения: 4551
- Зарегистрирован: 16 авг 2011, 22:12
- Sekretar Onipko
- Сообщения: 4551
- Зарегистрирован: 16 авг 2011, 22:12
Re: Терачина♥♥♥
Дата операции 03.12.2015г.
Дата снятия аппаратов 09.03.2016г.
Срок лечения 95 дней.

Дата снятия аппаратов 09.03.2016г.
Срок лечения 95 дней.

- Sekretar Onipko
- Сообщения: 4551
- Зарегистрирован: 16 авг 2011, 22:12
Re: Терачина♥♥♥
Дата операции 03.12.2015г.
Дата снятия аппаратов 09.03.2016г.
Срок лечения 95 дней.

Дата снятия аппаратов 09.03.2016г.
Срок лечения 95 дней.

Re: Терачина♥♥♥
Поздравляю
Результат супер!!!!
Результат супер!!!!