Таскана

В этом разделе каждый желающий может разместить свой рассказ об операции по исправлению "О-образной" кривизны ног. Здесь вы можете вести свой дневник, или разместить рассказ целиком. Приветствуется подробность изложения и размещение фото и видео материала.
Ответить
Аватара пользователя
Sekretar Onipko
Сообщения: 4551
Зарегистрирован: 16 авг 2011, 22:12

Таскана

Сообщение Sekretar Onipko »

Дата операции 04.12.2015г.
Исходник - 26 лет.
Не смотря на молодой возраст, у пациентки начальная стадия артроза.
Вложения
1449151122470_0.jpg
1449151104022_0.jpg
рентген до операции
рентген до операции
Аватара пользователя
Sekretar Onipko
Сообщения: 4551
Зарегистрирован: 16 авг 2011, 22:12

Re: Таскана

Сообщение Sekretar Onipko »

перед крутками.
Вложения
SAM_0219.JPG
Аватара пользователя
Sekretar Onipko
Сообщения: 4551
Зарегистрирован: 16 авг 2011, 22:12

Re: Таскана

Сообщение Sekretar Onipko »

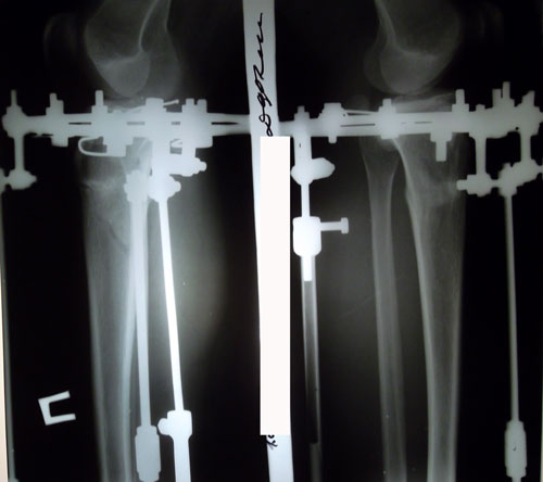
рентген на 15 -ый день после операции.
Вложения
20151219_113113.jpg
20151219_113253.jpg
Аватара пользователя
Sekretar Onipko
Сообщения: 4551
Зарегистрирован: 16 авг 2011, 22:12

Re: Таскана

Сообщение Sekretar Onipko »

Основные крутки закончены.
Вложения
SAM_0277.JPG
SAM_0278.JPG
Аватара пользователя
Sekretar Onipko
Сообщения: 4551
Зарегистрирован: 16 авг 2011, 22:12

Re: Таскана

Сообщение Sekretar Onipko »

Фото от 25.12.2015г.
Ножки на сращении.
Вложения
SAM_0290.JPG
SAM_0291.JPG
Аватара пользователя
Sekretar Onipko
Сообщения: 4551
Зарегистрирован: 16 авг 2011, 22:12

Re: Таскана

Сообщение Sekretar Onipko »

На сращении. telka
Вложения
SAM_0305.JPG
Аватара пользователя
Sekretar Onipko
Сообщения: 4551
Зарегистрирован: 16 авг 2011, 22:12

Re: Таскана

Сообщение Sekretar Onipko »

59 дней с момента операции.
через неделю снимаем аппараты!
Вложения
SAM_0330.JPG
SAM_0329.JPG
Аватара пользователя
Sekretar Onipko
Сообщения: 4551
Зарегистрирован: 16 авг 2011, 22:12

Re: Таскана

Сообщение Sekretar Onipko »

Ножки перед снятием аппаратов.
Вложения
image-19-02-16-07-06.jpg
Аватара пользователя
Sekretar Onipko
Сообщения: 4551
Зарегистрирован: 16 авг 2011, 22:12

Re: Таскана

Сообщение Sekretar Onipko »

Дата операции 04.12.2015г.
Дата снятия аппаратов 19.02.2016г.
Срок лечения 73 дня.

Изображение
Вложения
1449151104022_0.jpg
1449151104022_0-(2).jpg
Аватара пользователя
Sekretar Onipko
Сообщения: 4551
Зарегистрирован: 16 авг 2011, 22:12

Re: Таскана

Сообщение Sekretar Onipko »

Дата операции 04.12.2015г.
Дата снятия аппаратов 19.02.2016г.
Срок лечения 73 дня.

Изображение
Вложения
1449151122470_0.jpg
1449151122470_0-(2).jpg
Аватара пользователя
Sekretar Onipko
Сообщения: 4551
Зарегистрирован: 16 авг 2011, 22:12

Re: Таскана

Сообщение Sekretar Onipko »

Спустя 1,2 года с момента снятия аппаратов.
Девочки навестили нас в Клинике!
Спасибо! flowers
Вложения
20170428_115652.jpg
Ответить