♥ Птица счастья ♥
- Sekretar Onipko
- Сообщения: 4551
- Зарегистрирован: 16 авг 2011, 22:12
- Sekretar Onipko
- Сообщения: 4551
- Зарегистрирован: 16 авг 2011, 22:12
- Sekretar Onipko
- Сообщения: 4551
- Зарегистрирован: 16 авг 2011, 22:12
- Sekretar Onipko
- Сообщения: 4551
- Зарегистрирован: 16 авг 2011, 22:12
- Sekretar Onipko
- Сообщения: 4551
- Зарегистрирован: 16 авг 2011, 22:12
- Sekretar Onipko
- Сообщения: 4551
- Зарегистрирован: 16 авг 2011, 22:12
- Sekretar Onipko
- Сообщения: 4551
- Зарегистрирован: 16 авг 2011, 22:12
Re: ♥ Птица счастья ♥
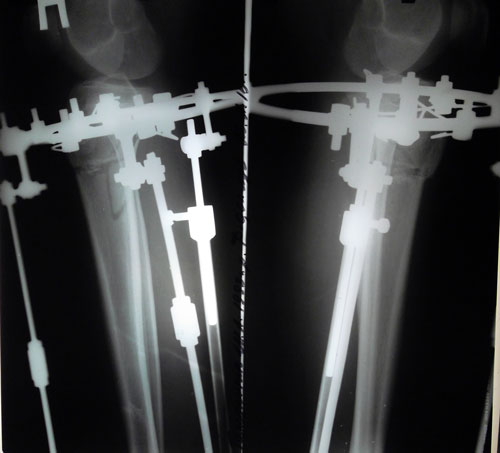
Дата операции 03.11.2015г.
Дата снятия 08.01.2016г.
Срок лечения 65 дней.

Дата снятия 08.01.2016г.
Срок лечения 65 дней.

- Sekretar Onipko
- Сообщения: 4551
- Зарегистрирован: 16 авг 2011, 22:12
Re: ♥ Птица счастья ♥
Дата операции 03.11.2015г.
Дата снятия 08.01.2016г.
Срок лечения 65 дней.

Дата снятия 08.01.2016г.
Срок лечения 65 дней.
