Девичьи мечты ♥

В этом разделе каждый желающий может разместить свой рассказ об операции по исправлению "О-образной" кривизны ног. Здесь вы можете вести свой дневник, или разместить рассказ целиком. Приветствуется подробность изложения и размещение фото и видео материала.
Ответить
Аватара пользователя
Sekretar Onipko
Сообщения: 4551
Зарегистрирован: 16 авг 2011, 22:12

Девичьи мечты ♥

Сообщение Sekretar Onipko »

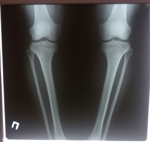
Диагноз: ахондроплазия, варусная деформация обеих голеней 155 градусов.
26 лет.
Дата операции 08.07.2015г.
Исходник.
Вложения
рентген до операции.
рентген до операции.
SAM_9956.JPG
SAM_9957.JPG
Аватара пользователя
Sekretar Onipko
Сообщения: 4551
Зарегистрирован: 16 авг 2011, 22:12

Re: Девичьи мечты ♥

Сообщение Sekretar Onipko »

В процессе исправления деформации.
Вложения
SAM_9996.JPG
SAM_9998.JPG
Аватара пользователя
Sekretar Onipko
Сообщения: 4551
Зарегистрирован: 16 авг 2011, 22:12

Re: Девичьи мечты ♥

Сообщение Sekretar Onipko »

На сращении.
Вложения
image-12-09-15-04-30-2.jpg
image-12-09-15-04-30-1.jpg
Аватара пользователя
Sekretar Onipko
Сообщения: 4551
Зарегистрирован: 16 авг 2011, 22:12

Re: Девичьи мечты ♥

Сообщение Sekretar Onipko »

90 дней.
Вложения
image-09-10-15-06-33-2.jpg
image-09-10-15-06-33.jpg
Аватара пользователя
Sekretar Onipko
Сообщения: 4551
Зарегистрирован: 16 авг 2011, 22:12

Re: Девичьи мечты ♥

Сообщение Sekretar Onipko »

рентген в 90 дней.
Здравствуйте, Б.! Сращение идёт хорошо, но Вам ходить ещё месяц. в 120 дней ждём рентген.
Вложения
image-09-10-15-05-15-4.jpg
image-09-10-15-05-15.jpg
Аватара пользователя
Sekretar Onipko
Сообщения: 4551
Зарегистрирован: 16 авг 2011, 22:12

Re: Девичьи мечты ♥

Сообщение Sekretar Onipko »

Рентген от 3.11.2015г.
Ждём повторный рентген через 2 недели.
Вложения
image-04-11-15-03-48.jpg
image-04-11-15-03-48-6.jpg
Аватара пользователя
Sekretar Onipko
Сообщения: 4551
Зарегистрирован: 16 авг 2011, 22:12

Re: Девичьи мечты ♥

Сообщение Sekretar Onipko »

Рентген от 04.12.2015г.
Сращение отличное, ждём на снятие аппаратов!
Вложения
image-04-12-15-10-44-5.jpg
image-04-12-15-10-44.jpg
Аватара пользователя
Sekretar Onipko
Сообщения: 4551
Зарегистрирован: 16 авг 2011, 22:12

Re: Девичьи мечты ♥

Сообщение Sekretar Onipko »

Дата операции 08.07.2015г.
Дата снятия аппаратов 07.12.2015г.
Срок лечения 5 месяцев.

Изображение
Вложения
SAM_9934.JPG
SAM_9935.JPG
Аватара пользователя
Sekretar Onipko
Сообщения: 4551
Зарегистрирован: 16 авг 2011, 22:12

Re: Девичьи мечты ♥

Сообщение Sekretar Onipko »

рентген в день снятия аппаратов.
Сравните рентген до операции и после исправления О-образной деформации обеих голеней. Работа хирурга на 5+
Изображение
Вложения
ортопедическая ось ровная (в норме)
ортопедическая ось ровная (в норме)
1449651639659_0.jpg
Аватара пользователя
Sekretar Onipko
Сообщения: 4551
Зарегистрирован: 16 авг 2011, 22:12

Re: Девичьи мечты ♥

Сообщение Sekretar Onipko »

1,5 месяца после снятия аппаратов.
рентген контроль.
Вложения
image-25-01-16-11-00.jpg
image-25-01-16-11-00-1.jpg
Аватара пользователя
Sekretar Onipko
Сообщения: 4551
Зарегистрирован: 16 авг 2011, 22:12

Re: Девичьи мечты ♥

Сообщение Sekretar Onipko »

Ножки супер! разрешено всё без ограничений, все нагрузки: спорт, фитнес, каблуки любых размеров - Вам очень они пойдут! Нельзя: беременеть в течении первых 6 месяцев с момента снятия аппаратов!
Не забывайте про наш форум, высылайте фото ножек, пишите отзывы, нам это важно, это наша работа - искусство, которым мы гордимся!
Вам, счастья, любви и всех благ!

Я вам и вашему коллективу очень благодарна ) дай бог вам и вашим близким здоровья. Я очень счастлива )))
Вложения
image-26-01-16-06-54-1.jpg
image-26-01-16-06-54.jpg
Аватара пользователя
Sekretar Onipko
Сообщения: 4551
Зарегистрирован: 16 авг 2011, 22:12

Re: Девичьи мечты ♥

Сообщение Sekretar Onipko »

Здравствуйте уважаемые! Как ваши дела ? Наталья с праздником вас хочу еще раз поблагодарить Н Николаевича , не могу нарадоваться))) это огромное счастье ходить с идеальными ровными ногами. Вот у меня такой вопрос , могу ли я усиливать нагрузки в спорт зале ? Можно ли мне заниматься с утижелителями ног, и висеть в тренажере верх ногами ? Боюсь чет (((

Здравствуйте, Б.! Вам разрешены нагрузки, делайте всё по нарастающей.
Вложения
image-09-03-16-09-00.jpg
shynar
Сообщения: 2
Зарегистрирован: 21 мар 2016, 19:11

Re: Девичьи мечты ♥

Сообщение shynar »

здравствуйте,не могли бы поделиться,в момент операции вы работали?я хочу на операцию,но не хотелось бы говорить правду,мне стыдно,что вы сказали работадателю?
Ответить