Красивые ножки♥♥♥

В этом разделе каждый желающий может разместить свой рассказ об операции по исправлению "О-образной" кривизны ног. Здесь вы можете вести свой дневник, или разместить рассказ целиком. Приветствуется подробность изложения и размещение фото и видео материала.
Ответить
Аватара пользователя
Sekretar Onipko
Сообщения: 4551
Зарегистрирован: 16 авг 2011, 22:12

Красивые ножки♥♥♥

Сообщение Sekretar Onipko »

Дата операции 02.10.2015г.
Исходник - 31 год.
Вложения
SAM_0104.JPG
SAM_0105.JPG
Аватара пользователя
Sekretar Onipko
Сообщения: 4551
Зарегистрирован: 16 авг 2011, 22:12

Re: Красивые ножки♥♥♥

Сообщение Sekretar Onipko »

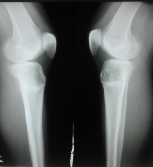
рентген до операции.
Вложения
SAM_0137.JPG
Аватара пользователя
Sekretar Onipko
Сообщения: 4551
Зарегистрирован: 16 авг 2011, 22:12

Re: Красивые ножки♥♥♥

Сообщение Sekretar Onipko »

До круток.
На 4-ый день после операции.
Вложения
SAM_0144.JPG
SAM_0145.JPG
Аватара пользователя
Sekretar Onipko
Сообщения: 4551
Зарегистрирован: 16 авг 2011, 22:12

Re: Красивые ножки♥♥♥

Сообщение Sekretar Onipko »

В процессе исправления деформации.
Вложения
SAM_0156.JPG
SAM_0154.JPG
Аватара пользователя
Sekretar Onipko
Сообщения: 4551
Зарегистрирован: 16 авг 2011, 22:12

Re: Красивые ножки♥♥♥

Сообщение Sekretar Onipko »

Ножки на сегодня.
Вложения
IMG_7609.JPG
IMG_7608.JPG
Аватара пользователя
Sekretar Onipko
Сообщения: 4551
Зарегистрирован: 16 авг 2011, 22:12

Re: Красивые ножки♥♥♥

Сообщение Sekretar Onipko »

47 дней после ОП.
фото немного не удачное, не по центру, а так всё на месте, мышечный тонус упал (это временно), всё придёт в норму со временем.
Спасибо за фото ножек, молодец!

Изображение
Вложения
IMG_8047.JPG
IMG_8046.JPG
Аватара пользователя
Sekretar Onipko
Сообщения: 4551
Зарегистрирован: 16 авг 2011, 22:12

Re: Красивые ножки♥♥♥

Сообщение Sekretar Onipko »

58 дней с момента операции.
Вложения
IMG_8319.JPG
IMG_8318.JPG
Аватара пользователя
Sekretar Onipko
Сообщения: 4551
Зарегистрирован: 16 авг 2011, 22:12

Re: Красивые ножки♥♥♥

Сообщение Sekretar Onipko »

Ножки в 58 дней.
Вложения
IMG_8320.JPG
IMG_8321.JPG
Darling
Сообщения: 3
Зарегистрирован: 02 дек 2015, 18:17

Re: Красивые ножки♥♥♥

Сообщение Darling »

Не перестаю восхищаться мастерством врача, ножки уже очень красивые, а потом будут еще лучше !!!!!
Аватара пользователя
Sekretar Onipko
Сообщения: 4551
Зарегистрирован: 16 авг 2011, 22:12

Re: Красивые ножки♥♥♥

Сообщение Sekretar Onipko »

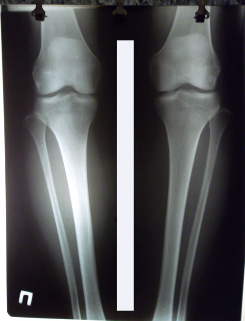
рентген в 90 дней.
Пора на снятие аппаратов!
Вложения
image-02-01-16-09-49-2.jpg
image-02-01-16-09-49-1.jpg
image-02-01-16-09-49.jpg
Аватара пользователя
Sekretar Onipko
Сообщения: 4551
Зарегистрирован: 16 авг 2011, 22:12

Re: Красивые ножки♥♥♥

Сообщение Sekretar Onipko »

Дата операции 02.10.2015г.
Дата снятия аппаратов 04.01.2016г.
Срок лечения 90 дней.

Изображение
Вложения
SAM_0105.JPG
SAM_0109.JPG
Аватара пользователя
Sekretar Onipko
Сообщения: 4551
Зарегистрирован: 16 авг 2011, 22:12

Re: Красивые ножки♥♥♥

Сообщение Sekretar Onipko »

Дата операции 02.10.2015г.
Дата снятия аппаратов 04.01.2016г.
Срок лечения 90 дней.

elka10
Вложения
SAM_0104.JPG
SAM_0108.JPG
Аватара пользователя
Sekretar Onipko
Сообщения: 4551
Зарегистрирован: 16 авг 2011, 22:12

Re: Красивые ножки♥♥♥

Сообщение Sekretar Onipko »

Рентген контроль и ножки в 1,5 месяца с момента снятия аппаратов.
Здравствуйте! Сращение отличное! Разрешено каблуки по нарастающей, физические нагрузки по нарастающей. Запрещено: беременеть в первые 6 месяцев с момента снятия аппаратов.
Ждём фото ножек на каблуках! Не забывайте про наш форум!
Вложения
image-18-02-16-06-39.jpg
image-18-02-16-05-07-1.jpg
image-18-02-16-05-07.jpg
Ответить