Майское солнце!
- Sekretar Onipko
- Сообщения: 4551
- Зарегистрирован: 16 авг 2011, 22:12
- Sekretar Onipko
- Сообщения: 4551
- Зарегистрирован: 16 авг 2011, 22:12
Re: Майское солнце!
Ножки на сегодня.
Здравствуйте Николай Николаевич, Наталья! У меня все отлично, ножки не бесспокоят. Только один болт на вверхнем кольце наружной стержени открутился и я обратно докрутила. Надеюсь ногам от этого ничего не будет. Жду комментариев по фото.
Спасибо заранее!!!
Здравствуйте Николай Николаевич, Наталья! У меня все отлично, ножки не бесспокоят. Только один болт на вверхнем кольце наружной стержени открутился и я обратно докрутила. Надеюсь ногам от этого ничего не будет. Жду комментариев по фото.
Спасибо заранее!!!
- Sekretar Onipko
- Сообщения: 4551
- Зарегистрирован: 16 авг 2011, 22:12
Re: Майское солнце!
Здравствуйте, starlite! Ножки в норме, красивенькие. Если болтики откручиваются, их нужно просто закрутить до упора (ничего страшного).
- Sekretar Onipko
- Сообщения: 4551
- Зарегистрирован: 16 авг 2011, 22:12
- Sekretar Onipko
- Сообщения: 4551
- Зарегистрирован: 16 авг 2011, 22:12
- Sekretar Onipko
- Сообщения: 4551
- Зарегистрирован: 16 авг 2011, 22:12
- Sekretar Onipko
- Сообщения: 4551
- Зарегистрирован: 16 авг 2011, 22:12
Re: Майское солнце!
Дата операции 26.05.2015г.
Дата снятия аппаратов 28.08.2015г.
Срок лечения 92 дня.

Дата снятия аппаратов 28.08.2015г.
Срок лечения 92 дня.
Re: Майское солнце!
Здравствуйте!!!!
Хочу выразить искренную благодарность, признательность и уважение вам Николай Николаевич , Наталья и вашему медицинскому персоналу за ответственное отношение к своему делу, за отзывчивость,чуткое ,внимательное отношение к пациентам.
Вы не только врач с большой буквы , ВЫ прежде всего человек- добрый, понимающий, любящий всою профессию- а это самое главное для нас, людей которых нуждаются в ващей помощи!!!
Огромное вам человеческое Спасибо за ваш ТАЛАНТ, ЗОЛОТЫЕ РУКИ, ОГРОМНОЕ СЕРДЦЕ !!!
Спасибо за ваш не лёгкий труд , за ваше желание помочь и за ОЧЕНЬ КРАСИВЫЙ РЕЗУЛЬТАТ!!!
Желаю вам и вашим близким крепкого здоровья , благополучия , удачи и ТОЛЬКО БЛОГОДАРНЫХ ПАЦИЕНТОВ!!!!
Хочу выразить искренную благодарность, признательность и уважение вам Николай Николаевич , Наталья и вашему медицинскому персоналу за ответственное отношение к своему делу, за отзывчивость,чуткое ,внимательное отношение к пациентам.
Вы не только врач с большой буквы , ВЫ прежде всего человек- добрый, понимающий, любящий всою профессию- а это самое главное для нас, людей которых нуждаются в ващей помощи!!!
Огромное вам человеческое Спасибо за ваш ТАЛАНТ, ЗОЛОТЫЕ РУКИ, ОГРОМНОЕ СЕРДЦЕ !!!
Спасибо за ваш не лёгкий труд , за ваше желание помочь и за ОЧЕНЬ КРАСИВЫЙ РЕЗУЛЬТАТ!!!
Желаю вам и вашим близким крепкого здоровья , благополучия , удачи и ТОЛЬКО БЛОГОДАРНЫХ ПАЦИЕНТОВ!!!!

- Sekretar Onipko
- Сообщения: 4551
- Зарегистрирован: 16 авг 2011, 22:12
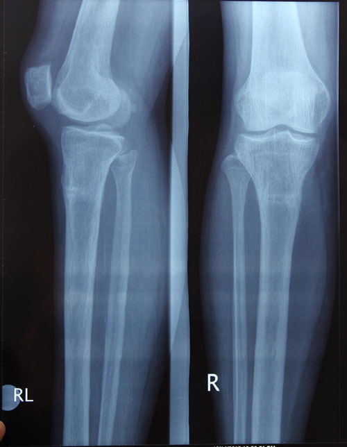
Re: Майское солнце!
рентген контроль в 1,5 месяца после снятия аппарата.
По результату рентгена - Вам разрешено всё без ограничений (спорт, каблуки, нагрузки). Кроме: беременности в течении первых 6 месяцев после снятия аппаратов.
По результату рентгена - Вам разрешено всё без ограничений (спорт, каблуки, нагрузки). Кроме: беременности в течении первых 6 месяцев после снятия аппаратов.
- Sekretar Onipko
- Сообщения: 4551
- Зарегистрирован: 16 авг 2011, 22:12
Re: Майское солнце!
Здравствуйте Николай Николаевич,Наталья!! Мои прямульки на сегодняшний день!!!
- Sekretar Onipko
- Сообщения: 4551
- Зарегистрирован: 16 авг 2011, 22:12
Re: Майское солнце!
Ножки в 1,5 месяца с момента снятия аппаратов.
Здравствуйте, starlite ! Ну, и что Вы нам не показывали такую красоту??? Супер! Мы гордимся своей работой! Спасибо за фото, не забывайте нас, шлите фото ножек через время, на каблуках и т.д.